症例詳細
Case detail
表のワイヤー矯正治療中にPMTCで綺麗に
治療症例の内容
- 診療科目
- 治療カテゴリ
- 患者様
- 20代
- 治療期間
- 1日
- 治療回数
- 1回
- 治療計画
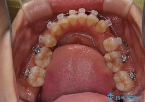
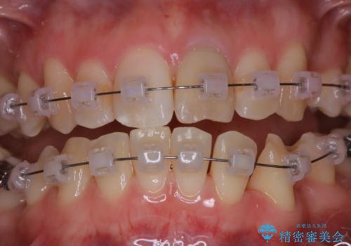
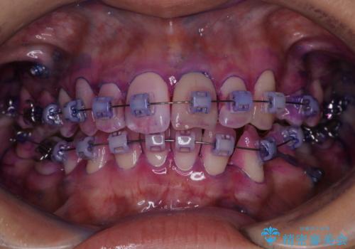
- ワイヤー矯正中に、口臭や汚れが気になり綺麗にクリーニングしたいとのことでした。染め出しをしての歯磨き指導とPMTC60分コースを行いました。
- 費用(概算)
- ¥11000費用は治療当時の料金となります
治療について
ワイヤー矯正中はブラッシングが難しくなるため、磨き残しが多くなることがあります。
ご自身でのブラッシングケアでは、歯周ポケットの中に歯ブラシの毛先が届くのはわずか2ミリ程です。軽度の歯周炎の場合でも歯周ポケットは3ミリほどあります。歯茎の中に長く汚れが溜まると、歯石や細菌などがつき、口臭の原因にもなります。
適切な道具を使って、適切なブラッシング方法を習得することで、磨き残しを減らすことができます。
また、矯正で歯の移動があると今までなかったところに隙間が出てきたり、ガタつきが解消されてきたりすることで、お口の中の環境が変わります。
矯正治療中も清潔な口腔内を保つことは、とても大切です。そのため、定期的に専門的な機械・材料を使用したProfessinnalcleaning(pmtc)を行うことがおススメです。
担当
表参道しらゆり歯科 DH西澤
PMTCの注意事項(リスク・副作用など)
- 歯を白くする目的の施術ではありません
- 保険適用外となります
当サイトの内容、テキスト、画像等の無断転載、複製、複写、盗用を固く禁じます。












