症例詳細
Case detail
矯正治療が終わったタイミングでPMTC
治療症例の内容
- 診療科目
- 治療カテゴリ
- 患者様
- 20代女性
- 治療期間
- 1日
- 治療回数
- 1回
- 治療計画
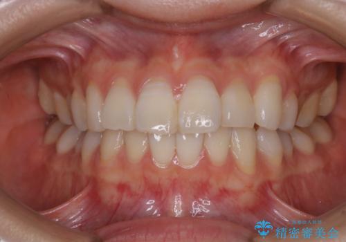
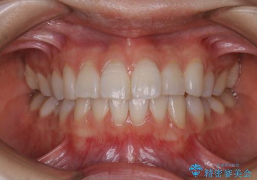
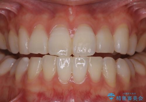
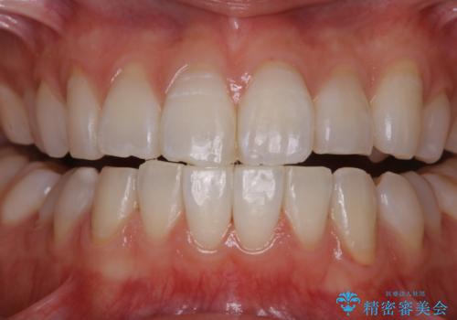
- 矯正治療が終了したため、クリーニンングをしてからメンテナンスに移行したいとのことでした。PMTC30分コースを行いました。
- 費用(概算)
- ¥5500円費用は治療当時の料金となります
治療について
矯正治療が終わり、せっかくきれいになった歯並びも、虫歯・歯周病などになってしまっては元も子もありません。
ご自身での歯ブラシ・セルフケアを行うと同時に、定期的なクリーニング(PMTC)を行うことで、いつまでも健康な歯を保つことができます。
PMTCとは
【p】プロフェッショナル:専門家による
【М】メカニカル:専用の機械を用いた
【T】トゥース:歯の
【C】クリーニンング:クリーニンング
担当
表参道しらゆり歯科 DH西澤
PMTCの注意事項(リスク・副作用など)
- 歯を白くする目的の施術ではありません
- 保険適用外となります
当サイトの内容、テキスト、画像等の無断転載、複製、複写、盗用を固く禁じます。






