症例詳細
Case detail
タバコのヤニを取って歯を白くしたい
治療症例の内容
- 診療科目
- 治療カテゴリ
- 患者様
- 30代男性
- 治療期間
- 1日
- 治療回数
- 1回
- 治療計画
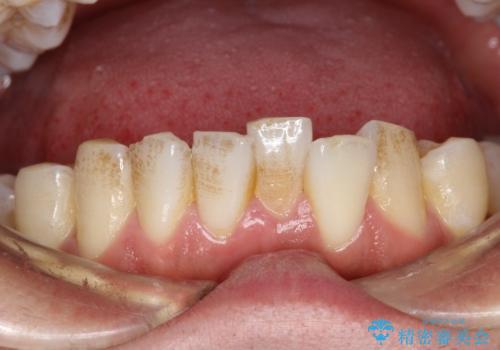
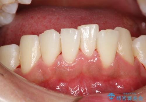
- タバコを吸われる方で、ヤニを取って歯を白くしたいとのことでした。
歯の表面についた汚れがかなり頑固な汚れだったため、PMTC(エアフロー)の60分コースにて施術しました。
- 費用(概算)
- 13200円(税込)費用は治療当時の料金となります
治療について
ヤニは歯につくと表面がざらざらしたような舌触りになります。
ざらざらしたところに歯石や茶渋の汚れプラークなどが付きやすいため
タバコを吸われる方は見た目が気にならない方でも歯周病や虫歯の予防としてクリーニングを行うことをお勧めします。
六本木河野歯科クリニック
DH椎名
PMTCの注意事項(リスク・副作用など)
- 歯を白くする目的の施術ではありません
- 保険適用外となります
当サイトの内容、テキスト、画像等の無断転載、複製、複写、盗用を固く禁じます。




