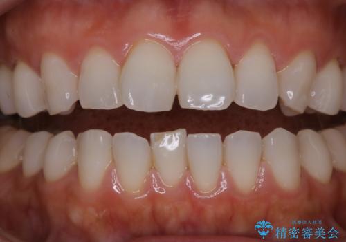
症例詳細
Case detail
数年ぶりに歯のクリーニング
治療症例の内容
- 診療科目
- 治療カテゴリ
- 患者様
- 40代女性
- 治療期間
- 1日
- 治療回数
- 1回
- 治療計画
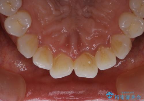
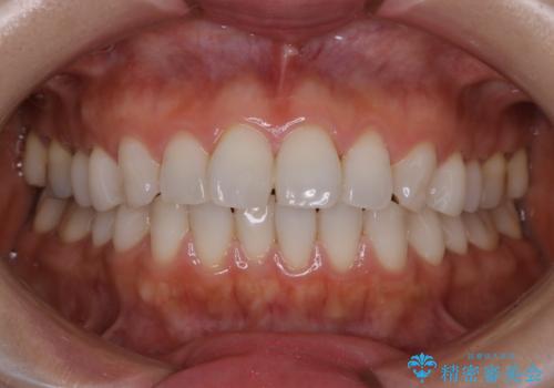
- 歯科はかなり久しぶりで虫歯や歯周病ケアのために、しっかりとクリーニンングを受けたいとのことでした。
- 費用(概算)
- ¥11000費用は治療当時の料金となります
治療について
歯周病とは、細菌による感染症です。歯周病菌を取り除くには、歯周ポケットの中を機械的に掃除することです。
歯周病の原因は、歯にべったりと付着するプラーク(細菌の塊)や歯石です。そこから歯周病菌が引き起こす炎症により、歯を支える歯周組織が破壊され、最終的には歯が抜け落ちてしまうという怖い病気です。
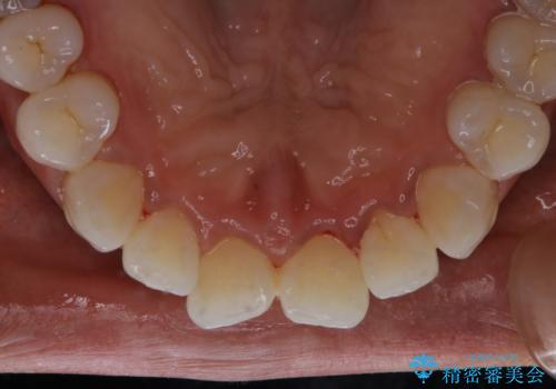
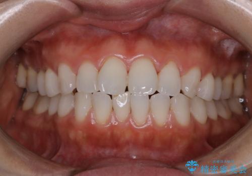
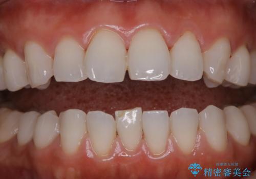
もっとも、効果的な治療法がPMTC(歯科医院で専門的な機械や材料を使用してクリーニング)を定期的に行うことです。
治療の前後や、治療中など小まめに専門的な機械的ケアをすることが大切です。
PMTCを行うことにより、スッキリと爽快感が得られたり、見た目も清潔感のある状態になるため、今後の治療などに対するモチベーションUPにも繋がります。
担当
表参道しらゆり歯科 DH西澤
PMTCの注意事項(リスク・副作用など)
- 歯を白くする目的の施術ではありません
- 保険適用外となります
当サイトの内容、テキスト、画像等の無断転載、複製、複写、盗用を固く禁じます。








