症例詳細
Case detail
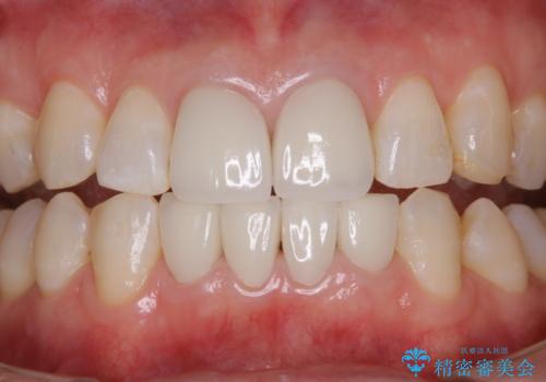
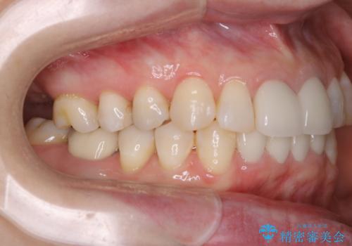
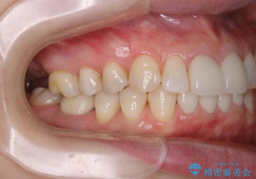
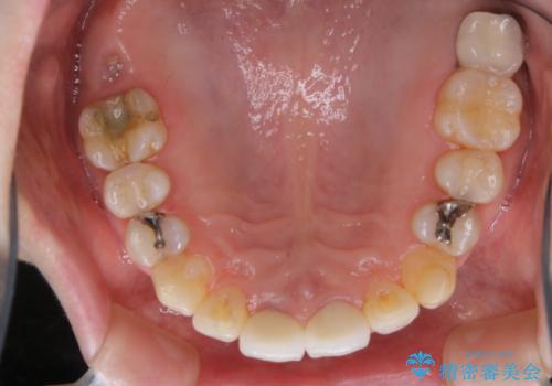
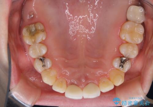
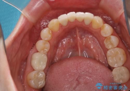
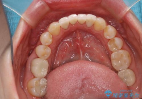
インプラントの2次手術前にPMTCで清潔な口腔内に
治療症例の内容
- 診療科目
- 治療カテゴリ
- 患者様
- 50代女性
- 治療期間
- 1日
- 治療回数
- 1回
- 治療計画
- そろそろインプラントの2次手術があるため、全体的にきれいな口腔内にしたいとのことでした。PMTC60分コースを行いました。
- 費用(概算)
- ¥11000費用は治療当時の料金となります
治療について
お口の中が汚れていて菌だらけだと、インプラントや外科的な治療をする際に痛みが出やすくなったり、感染をおこしやすくなるリスクがあります。外からは見えない歯周ポケットなどに汚れがたまると菌は増殖していきます。
PMTCでは専門的な機械や材料を使用しますので、固くこびりついた歯石や着色などを除去していきます。しっかりとしたクリーニングを行うことで、歯面が平骨になりあらたな汚れがつきにくくなります。
インプラントや外科的処置を行う場合にも、PMTCを行うことがおすすめです。
担当
表参道しらゆり歯科 DH西澤
PMTCの注意事項(リスク・副作用など)
- 歯を白くする目的の施術ではありません
- 保険適用外となります
当サイトの内容、テキスト、画像等の無断転載、複製、複写、盗用を固く禁じます。












