症例詳細
Case detail
銀歯の下が虫歯になっている セラミックインレー 30代女性
治療症例の内容
- 診療科目
 
- 治療カテゴリ
 
- 担当医
 
- 患者様
 - 30代女性
 
- 治療期間
 - 1ヶ月
 
- 治療回数
 - 2-5回
 
- 治療計画
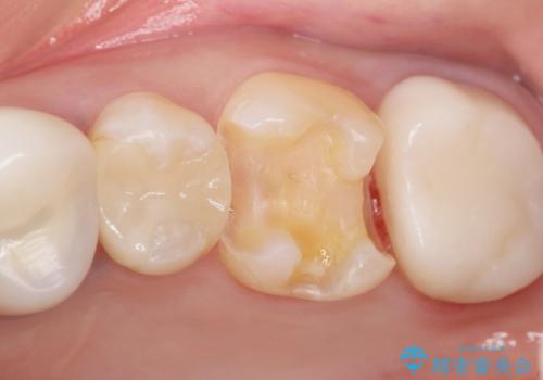
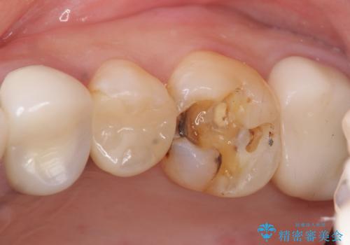
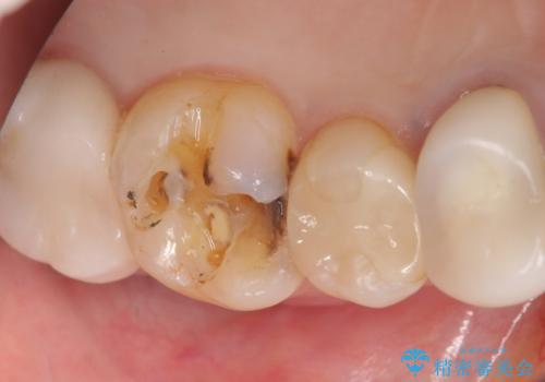
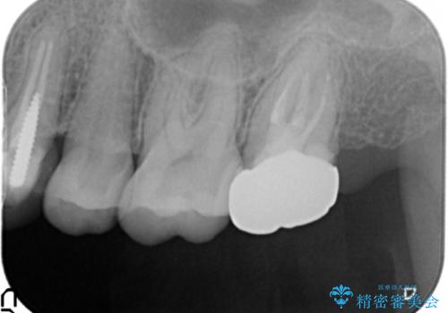
 - 奥歯がたまにしみることを主訴に来院された患者様です。
精査したところ、奥歯のメタルインレー(銀の詰め物)の下でう蝕が広がっていました。
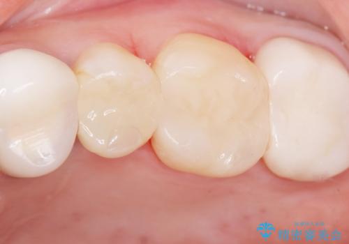
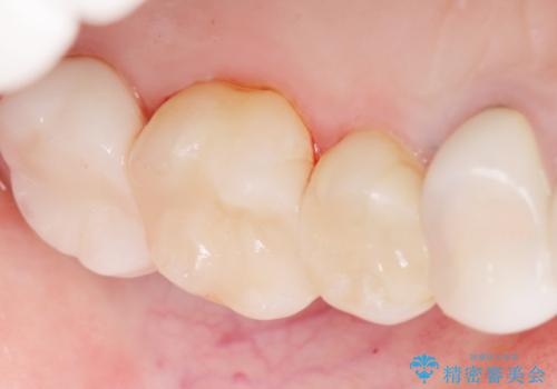
う蝕を丁寧に除去したのち、セラミックインレーによる補綴治療を行いました。 
- 費用(概算)
 - ¥77,000 ※税込費用は治療当時の料金となります
 
治療について
自然な仕上がりと咬み心地にご満足頂けました。
セラミックインレーは審美的で強度が高いだけではなく、適合が良いため二次う蝕にもなりにくいです。
インレーの種類:セラミックインレー e-max press
セラミック治療の注意事項(リスク・副作用など)
- 天然歯を削ります
 - 硬い素材は天然歯を傷つけてしまう場合があります
 - かみ合わせや歯ぎしりが強すぎる方はセラミックが割れてしまう可能性があります
 - 自費診療(保険適用外治療)となります
 
当サイトの内容、テキスト、画像等の無断転載、複製、複写、盗用を固く禁じます。

                      
                                                          









