症例詳細
Case detail
[ 重度歯周病 ] インプラント・義歯による咬合再構築
治療症例の内容
- 患者様
- 50代男性
- 治療期間
- 3年
- 治療回数
- 30回以上
- 治療計画
- 「歯がグラグラして放置してきたが、いよいよ物が噛めない、なんとかして欲しい。」と治療を希望され来院されました。
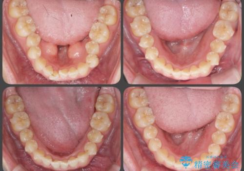
X線写真検査、歯周病組織検査より重度歯周病の状態であり多数の歯が保存できないことがわかりました。
今後の食生活を考える上でしっかりとかむことができるように、
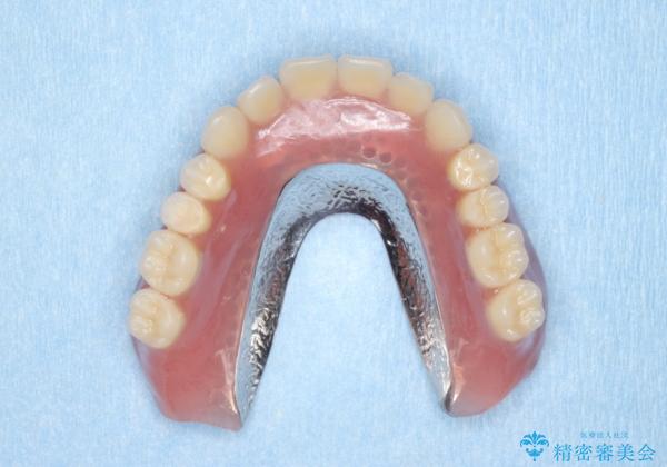
上顎:インプラント支台 マグネットオーバーデンチャー(義歯)
下顎:前歯部ブリッジ 臼歯部固定式インプラントブリッジ
の最終ゴールを見据えた治療計画を立案します。
- 費用(概算)
- 350万円費用は治療当時の料金となります
歯周病治療について
重度歯周病の歯は、残すことでより周囲の歯や骨に悪影響を及ぼすこともあります。
残すことのできない歯は、抜去を行いブリッジやインプラント・義歯といった方法で咬合機能回復を行います。
インプラント治療の注意事項(リスク・副作用など)
- 外科手術のため、術後に痛みや腫れ、違和感を伴います
- メンテナンスを怠ったり喫煙により、お口の中に大きな悪影響を及ぼすインプラント周囲炎等にかかる可能性があります
- 糖尿病、肝硬変、心臓病等の場合、インプラント治療ができない可能性があります
- 高血圧、貧血・不整脈等の場合、インプラント治療後に治癒不全を招く可能性があります
- 自費診療(保険適用外治療)となります
入れ歯の注意事項(リスク・副作用など)
- ブリッジやインプラントと比較して、色が合いづらい、見た目の違和感があります
- ブリッジやインプラントと比較して、話しにくい、舌が当たる等の違和感があります
- 慣れるまで微調整で何度か通って頂くことがあります
- 就寝時や食後に毎回取り外して、清掃する必要があります
- 自費診療(保険適用外)となります
当サイトの内容、テキスト、画像等の無断転載、複製、複写、盗用を固く禁じます。

![[ 重度歯周病 ] インプラント・義歯による咬合再構築の治療前](https://seimitsushinbi.jp/wp/wp-content/uploads/2021/07/0a652e75d5f31b51f66fbb3c46093249-500x350.jpg?v=1626759388)
![[ 重度歯周病 ] インプラント・義歯による咬合再構築の治療後](https://seimitsushinbi.jp/wp/wp-content/uploads/2021/07/4c6838854beaf5801dbc7fde26492d6c-500x350.jpg?v=1626759531)
![[ 重度歯周病 ] インプラント・義歯による咬合再構築の治療前](https://seimitsushinbi.jp/wp/wp-content/uploads/2021/07/6c59ced2d753a69103c01765d9964f28-500x350.jpg?v=1626759395)
![[ 重度歯周病 ] インプラント・義歯による咬合再構築の治療後](https://seimitsushinbi.jp/wp/wp-content/uploads/2021/07/77d69f0d0c43f06833971a366f627019-500x350.jpg?v=1626759527)
![[ 重度歯周病 ] インプラント・義歯による咬合再構築の治療前](https://seimitsushinbi.jp/wp/wp-content/uploads/2021/07/6098b09253d9fd1299cfcadbde6efc1e-500x350.jpg?v=1626759392)
![[ 重度歯周病 ] インプラント・義歯による咬合再構築の治療後](https://seimitsushinbi.jp/wp/wp-content/uploads/2021/07/53b229bda671727885ea35f5cbad3222-500x350.jpg?v=1626759514)
![[ 重度歯周病 ] インプラント・義歯による咬合再構築の治療前](https://seimitsushinbi.jp/wp/wp-content/uploads/2021/07/26a5ec3c6c291718fd40a5e4e7880018-500x350.jpg?v=1626759399)
![[ 重度歯周病 ] インプラント・義歯による咬合再構築の治療中](https://seimitsushinbi.jp/wp/wp-content/uploads/2021/07/2520c85253ed94c9c27034649ff96ed2-500x350.jpg?v=1626833406)
![[ 重度歯周病 ] インプラント・義歯による咬合再構築の治療後](https://seimitsushinbi.jp/wp/wp-content/uploads/2021/07/6c27cf45326510ab57aabe65330f10e9-500x350.jpg?v=1626759523)
![[ 重度歯周病 ] インプラント・義歯による咬合再構築の治療前](https://seimitsushinbi.jp/wp/wp-content/uploads/2021/07/1dc672eed05f456e1a6b327ed045838a-500x350.jpg?v=1626759403)
![[ 重度歯周病 ] インプラント・義歯による咬合再構築の治療後](https://seimitsushinbi.jp/wp/wp-content/uploads/2021/07/20306ec98377f8915f263522187d26e0-500x350.jpg?v=1626759518)
![[ 重度歯周病 ] インプラント・義歯による咬合再構築の治療前](https://seimitsushinbi.jp/wp/wp-content/uploads/2021/07/P1-1-500x350.jpg?v=1626833378)
![[ 重度歯周病 ] インプラント・義歯による咬合再構築の治療後](https://seimitsushinbi.jp/wp/wp-content/uploads/2021/07/P5-500x350.jpg?v=1626759371)