症例詳細
Case detail
臼歯部インプラント補綴
治療症例の内容
- 診療科目
- 治療カテゴリ
- 担当医
- 大元洋佑(ドクタープロフィール)
- 患者様
- 50代男性
- 治療期間
- 8ヶ月
- 治療回数
- 5-10回
- 治療計画
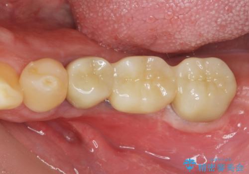
- 奥歯で物が噛めず、食事が楽しめなくなってしまった。しっかり噛んで食事ができるようになりたいと来院されました。
予後の不安な小臼歯と、すでに大臼歯は2本喪失した状態で咀嚼機能に大きく問題がある状態です。
グラつきのある小臼歯は、抜歯を行い2本のインプラントを埋入することでしっかりと咬合機能を回復できる治療を計画します。
- 費用(概算)
- 89.1万円(仮歯×3・ストローマンインプラント×3・フルジルコニアクラウン×3・チタンカスタムアバットメント×3)費用は治療当時の料金となります
インプラント治療について
インプラントは複数の奥歯を失った際に、咬合機能をしっかりと回復できる有効な治療です。
治療後はまたしっかりと噛んで食事を楽しむことができるようになったと喜んでいただくことができました。
インプラント治療の注意事項(リスク・副作用など)
- 外科手術のため、術後に痛みや腫れ、違和感を伴います
- メンテナンスを怠ったり喫煙により、お口の中に大きな悪影響を及ぼすインプラント周囲炎等にかかる可能性があります
- 糖尿病、肝硬変、心臓病等の場合、インプラント治療ができない可能性があります
- 高血圧、貧血・不整脈等の場合、インプラント治療後に治癒不全を招く可能性があります
- 自費診療(保険適用外治療)となります
セラミック治療の注意事項(リスク・副作用など)
- 天然歯を削ります
- 硬い素材は天然歯を傷つけてしまう場合があります
- かみ合わせや歯ぎしりが強すぎる方はセラミックが割れてしまう可能性があります
- 自費診療(保険適用外治療)となります
当サイトの内容、テキスト、画像等の無断転載、複製、複写、盗用を固く禁じます。









