症例詳細
Case detail
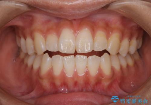
エアフローパウダー+超微細ウォーター(クリーニング)
治療症例の内容
- 診療科目
- 治療カテゴリ
- 患者様
- 30代女性
- 治療期間
- 1日
- 治療回数
- 1回
- 治療計画
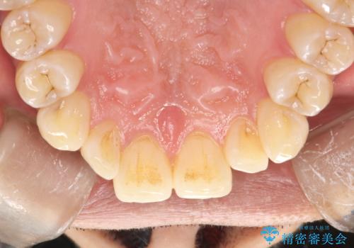
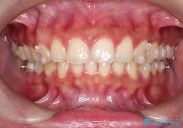
- インビザラインで矯正中の方です。
インビザラインは飲食時や歯磨きのときに装置が外せるため、ワイヤー装置と比べるとブラッシングでの磨き残しが少ないのですが、それでもアタッチメントなどがついているとプラークなどが残ったりしてしまいます。
- 費用(概算)
- 約8千円費用は治療当時の料金となります
エアフロー
エアフローパウダー+超微細ウォーター
スプレーの噴射によりしつこい色素沈着やプラークを除去します。
歯科衛生士 吉越
PMTCの注意事項(リスク・副作用など)
- 歯を白くする目的の施術ではありません
- 保険適用外となります
当サイトの内容、テキスト、画像等の無断転載、複製、複写、盗用を固く禁じます。


