症例詳細
Case detail
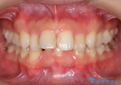
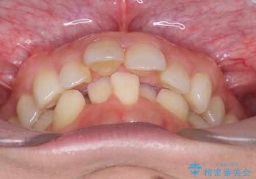
出っ歯 下の歯のガタガタ 下の前歯のみ1本抜歯 マウスピースで1年
治療症例の内容
- 診療科目
- 担当医
- 井上季実子(ドクタープロフィール)
- 患者様
- 30代女性
- 矯正装置
- インビザライン フル
- 治療期間
- 1年3ヶ月
- 治療回数
- 10-30回
- 治療計画
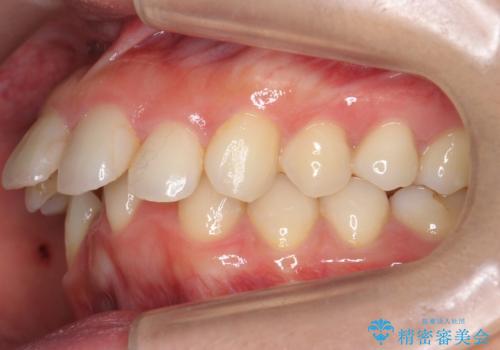
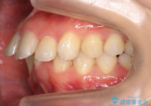
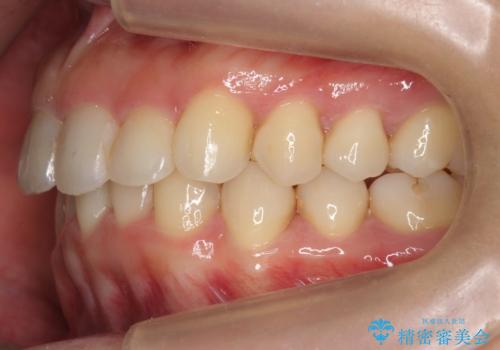
- 出っ歯を主訴に来院。
航空会社勤務とのことで、矯正には会社の許可がいる上、許可を取るのが難しいだろうとのことでした。
育児休業中に矯正を終わらせることになりました。
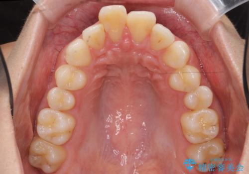
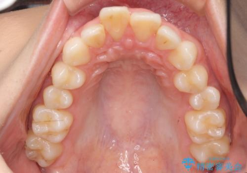
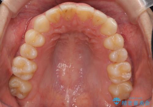
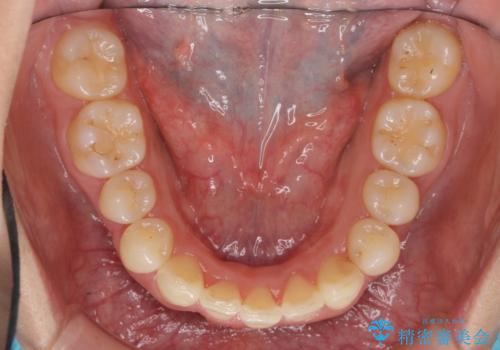
下の前歯のがたつきがひどく、非抜歯では難しい状態でした。
古典的な方法では4本抜歯した後、ワイヤー矯正という方法も選択肢には上がりましたが、下の前歯を1本だけ抜くことにし、マウスピースで短期間で治療を終わらせるようにしました。
- 費用(概算)
- 99万円(税込)費用は治療当時の料金となります
治療について
治療も比較的短期間で終わり、大変喜んでいただきました。
下の前歯を1本抜くと上下の正中はあいませんが、ほとんど目立ちません。
マウスピース矯正の注意事項(リスク・副作用など)
- 口腔内・歯並びの状態によっては対応できない場合があります
- マウスピース型矯正装置の長時間装着(1日20時間以上)が必須です
- 治療計画通りに進めるためには、患者様の意志が重要になります
- 矯正治療後の保定が不十分だと後戻り(元の位置に戻ろうとする動き)をします
- 薬機法対象外の矯正歯科装置のため医薬品副作用被害救済制度の対象外となる場合があります
- 自費診療(保険適用外)となります
当サイトの内容、テキスト、画像等の無断転載、複製、複写、盗用を固く禁じます。






















