症例詳細
Case detail
前歯のステインを取りたい PMTCできれいに
治療症例の内容
- 診療科目
- 治療カテゴリ
- 患者様
- 20代女性
- 治療期間
- 1日
- 治療回数
- 1回
- 治療計画
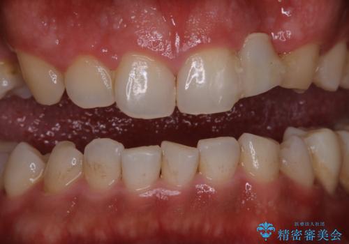
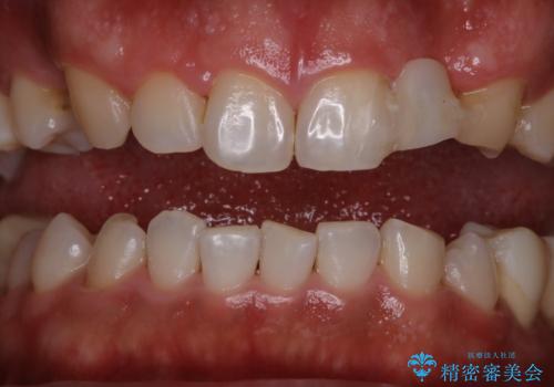
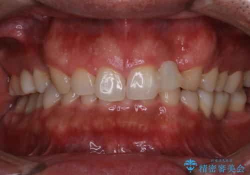
- 引っ越しをしたため、かかりつけの歯科に通院できなくなってしまったとのことでした。
まずは、前歯のステインをきれいにしてほしいとのことでPMTC30分コースを行いました。
- 費用(概算)
- ¥5500費用は治療当時の料金となります
治療について
毎日丁寧に歯磨きをしていても、日常生活での飲食物などにより着色してしまうことはあります。PMTCでは、歯の表面の凸凹にミネラルを補給して、ツルツルの表面に仕上げます。定期的にPMTCを行うことにより、歯質の強化になり着色がつきにくい状態になります。
また、歯と歯の間に歯石がたまるとフロス・糸ようじなどが通らなくなってしまいます。定期的に機械的なクリーニングを行い健康的な歯肉の状態を保つことが大切です。
普段の飲食物・歯磨き・生活習慣などにより着色の付き具合には個人差があります。どれくらいの頻度で行うことがベストかは、その都度担当の歯科衛生士とご相談します。
担当
表参道しらゆり歯科 DH西澤
PMTCの注意事項(リスク・副作用など)
- 歯を白くする目的の施術ではありません
- 保険適用外となります
当サイトの内容、テキスト、画像等の無断転載、複製、複写、盗用を固く禁じます。






