症例詳細
Case detail
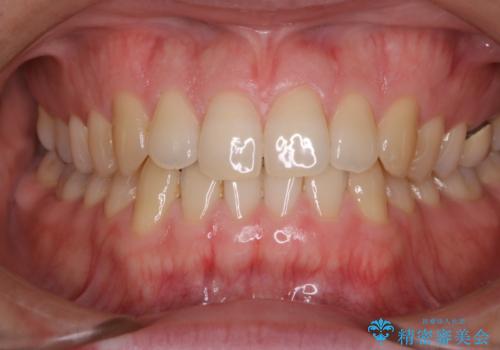
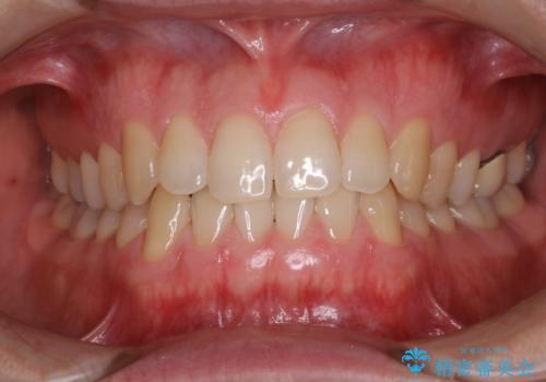
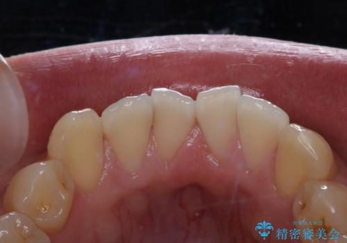
フロスが通せない PMTCで本来の歯のすき間に
治療症例の内容
- 診療科目
- 治療カテゴリ
- 患者様
- 20代女性
- 治療期間
- 1日
- 治療回数
- 1回
- 治療計画
- フロスが通せないため通せるように歯石を取ってほしいとのことでした。PMTC30分コースを行いました。
- 費用(概算)
- ¥5500費用は治療当時の料金となります
治療について
歯科医院で行なわれる専門家による徹底した歯面清掃をPMTC(Professional Mechanical Tooth Cleaning)といいます。専用の機器とフッ化物入り研磨剤を使用して、歯みがきで落とせない歯石や磨き残したプラークを中心に総ての歯面の清掃と研磨を行ない、齲蝕や歯周病になりにくい環境を整えます。
歯石が溜まると、歯と歯の間が埋め尽くされてしまい、デンタルフロスが通りずらくなったり、通せなくなります。
かなり上手に磨ける人でも、セルフケアだけで、虫歯や歯周病予防を行うことには限界があります。
また、定期的に歯科医院にてクリーニングやチェックをしていると口腔内の変化があった場合の、早期発見につながります。口腔内の状態により、個人差はありますが約3か月を目安にPMTCを行うことがおすすめです。
担当
表参道しらゆり歯科 DH西澤
PMTCの注意事項(リスク・副作用など)
- 歯を白くする目的の施術ではありません
- 保険適用外となります
当サイトの内容、テキスト、画像等の無断転載、複製、複写、盗用を固く禁じます。






