症例詳細
Case detail
口元が出てるの気になる ハーフリンガルによる抜歯矯正での横顔改善
治療症例の内容
- 診療科目
- 担当医
- 患者様
- 20代女性
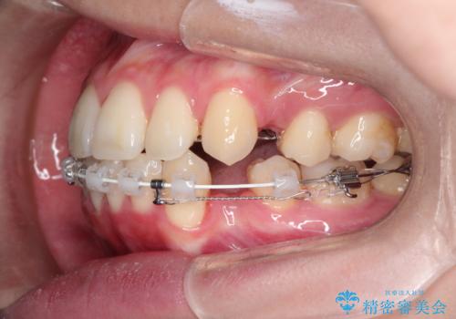
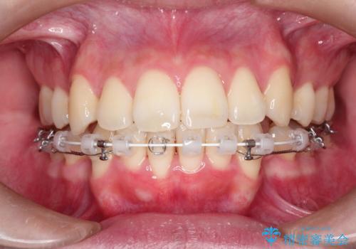
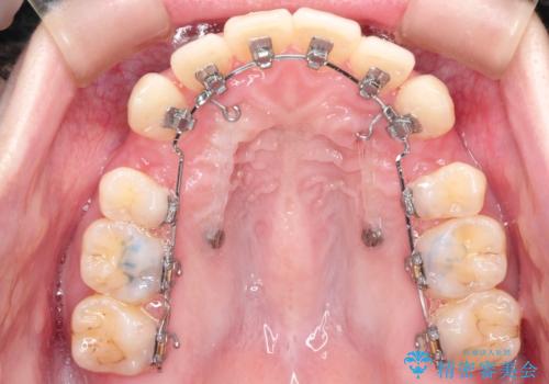
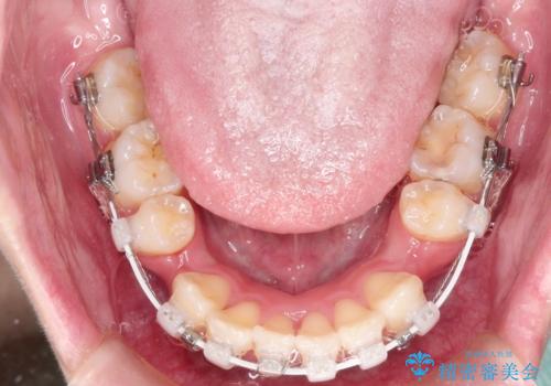
- 矯正装置
- ハーフリンガル
- 治療期間
- 2年3ヶ月
- 治療回数
- 10-30回
- 治療計画
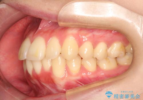
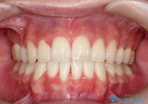
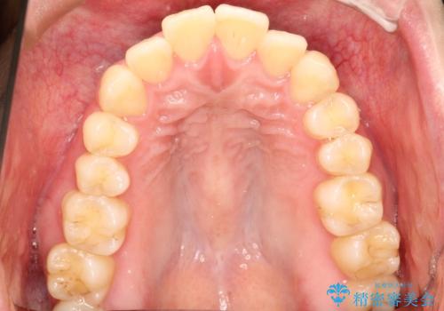
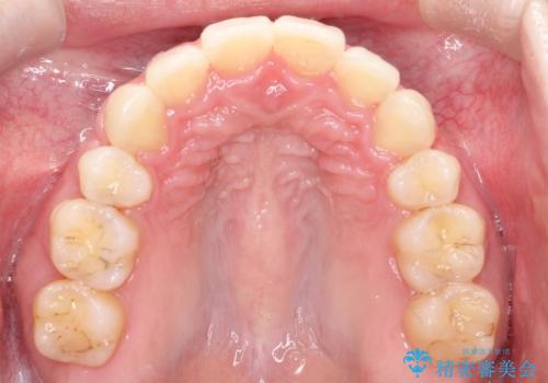
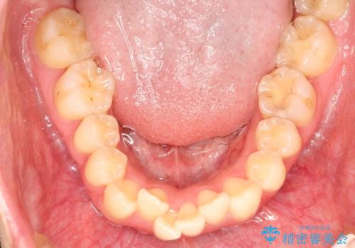
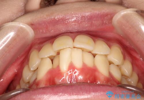
- 前歯が出ているため口が閉じにくく、横顔が気になるとのことで来院された患者様です。。
上下の前歯が前方に傾斜しており、口唇の突出感がありました。
上下左右の前から4番目の歯を抜歯して、上下の前歯を後方に移動させる計画としました。
- 費用(概算)
- 約130万円費用は治療当時の料金となります
治療について
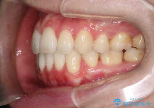
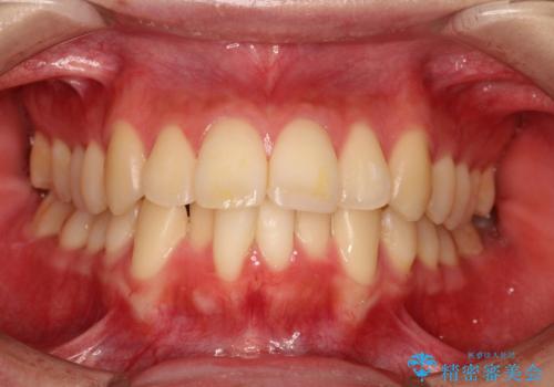
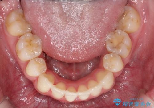
抜歯矯正により、前歯をしっかり下げることで口元がすっきりしました。
ワイヤー矯正の注意事項(リスク・副作用など)
- 治療中は違和感や痛みが起こることがあります
- 症状により、抜歯が必要な場合があります
- 治療中は歯磨きがしにくくなるため、虫歯や歯周病になりやすくなります
- 矯正治療後の保定が不十分だと後戻り(元の位置に戻ろうとする動き)をします
- 自費診療(保険適用外)となります
当サイトの内容、テキスト、画像等の無断転載、複製、複写、盗用を固く禁じます。





















