症例詳細
Case detail
歯が痛い 深いう蝕により神経が死んでいる 50代女性
治療症例の内容
- 診療科目
- 治療カテゴリ
- 担当医
- 患者様
- 50代女性
- 治療期間
- 2ヶ月
- 治療回数
- 2-5回
- 治療計画
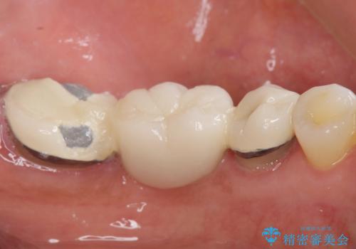
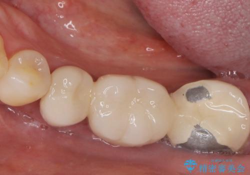
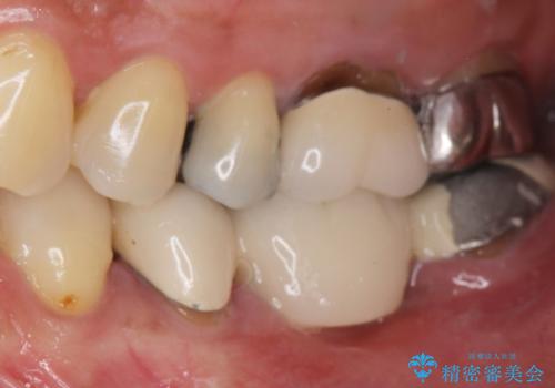
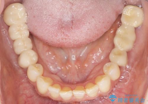
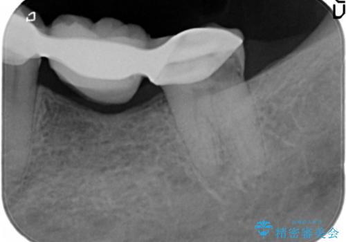
- 奥歯の痛みを主訴に来院された患者様です。
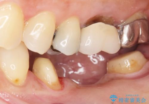
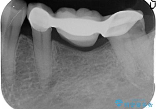
 精査したところ、ブリッジの支台歯となっている左下の奥歯(左下7)は大きなう蝕により神経が死んでいました。
 
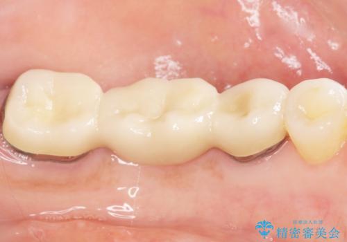
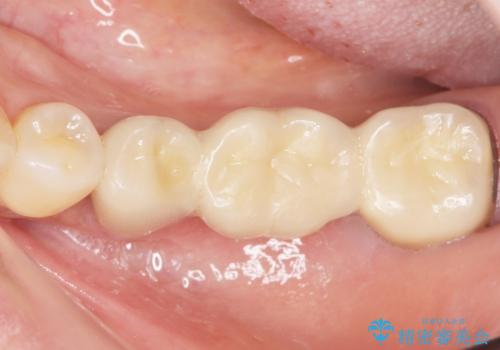
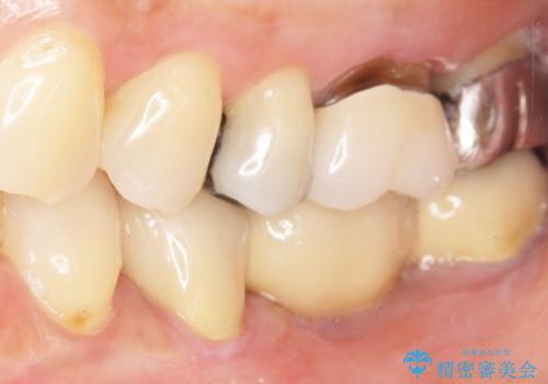
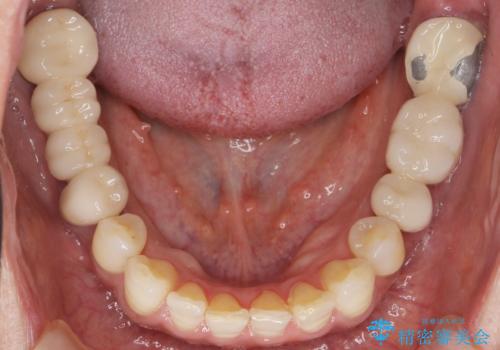
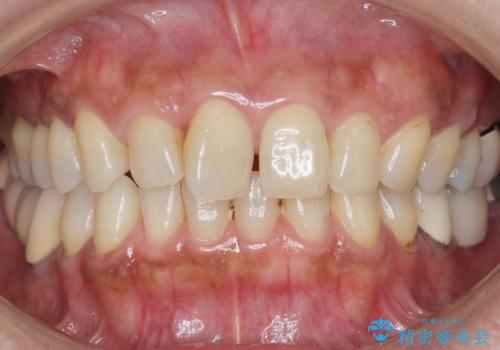
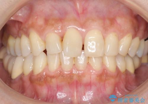
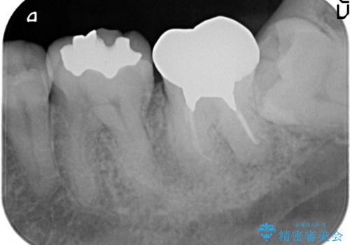
 根管治療後、メタルボンドブリッジによる補綴治療を行いました。
- 費用(概算)
- ¥462,000 (根管治療×1本、土台×1本、仮歯×3本、クラウン×3本) ※税込費用は治療当時の料金となります
治療について
自然な仕上がりと咬み心地に喜んで頂けました。
クラウンの種類:メタルボンドクラウン エコノミー
セラミック治療の注意事項(リスク・副作用など)
- 天然歯を削ります
- 硬い素材は天然歯を傷つけてしまう場合があります
- かみ合わせや歯ぎしりが強すぎる方はセラミックが割れてしまう可能性があります
- 自費診療(保険適用外治療)となります
当サイトの内容、テキスト、画像等の無断転載、複製、複写、盗用を固く禁じます。








 
                       
                                                          

















 
                   
                   
                  