症例詳細
Case detail
数年ぶりの歯医者で歯を白くしたい
治療症例の内容
- 診療科目
- 治療カテゴリ
- 患者様
- 40代男性
- 治療期間
- 1日
- 治療回数
- 1回
- 治療計画
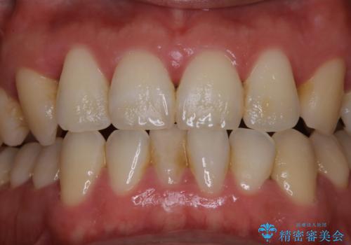
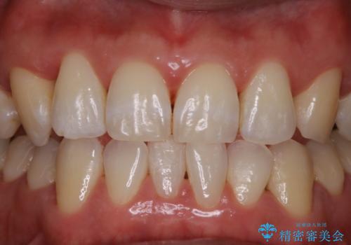
- 歯科がかなり久しぶりですが、歯を白くしたいとのことで来院されました。今回は、ホワイトニングよりもまずは現状の汚れを取り除く必要性があったため、PMTC60分コースを行いました。
- 費用(概算)
- 11000費用は治療当時の料金となります
治療について
どの施術の前にもまずは、お口の中を診査します。
ホワイトニングを考えている場合でも、状態によってはクリーニングを行うことでご希望の状態になることもあります。
PMTCでは、プラークや歯石、着色などを徹底的に除去します。
まずは、ご自身本来の歯の状態にしてからホワイトニングを行うか検討してもらうことをおすすめします。
よりお口の中を健康な状態にしてからホワイトニング治療のを受けることで効果を安全で確実に得ることができます。
担当
表参道しらゆり歯科 DH西澤
PMTCの注意事項(リスク・副作用など)
- 歯を白くする目的の施術ではありません
- 保険適用外となります
当サイトの内容、テキスト、画像等の無断転載、複製、複写、盗用を固く禁じます。




