症例詳細
Case detail
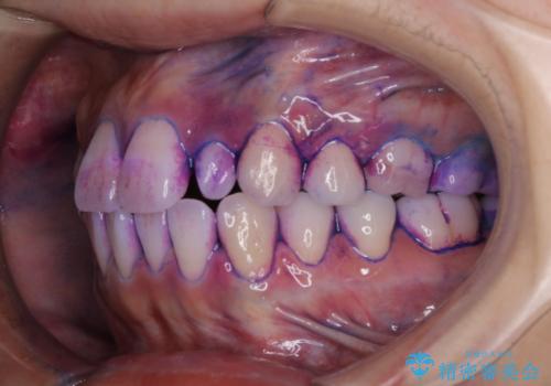
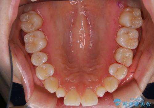
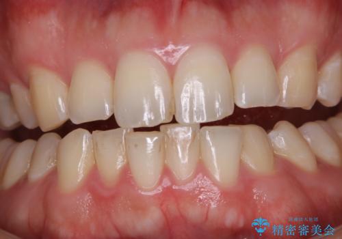
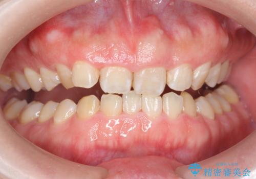
1カ月前に他院でクリーニングを受けたが舌触りが気になる PMTCでツルツルに
治療症例の内容
- 診療科目
- 治療カテゴリ
- 患者様
- 20代女性
- 治療期間
- 1日
- 治療回数
- 1回
- 治療計画
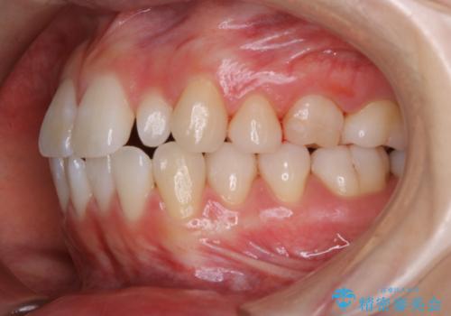
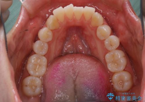
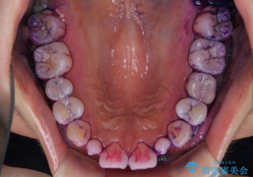
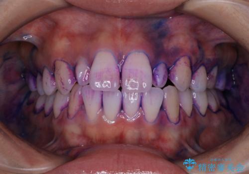
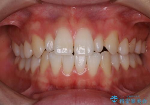
- 1カ月前に他院でクリーニングを受けたが舌触りが気になるとのことでした。ツルツルにしてほしいとのことでPMTCを希望されました。染め出しを行い、PMTC60分コースを行いました。
- 費用(概算)
- 11000円費用は治療当時の料金となります
治療について
口腔内にはたくさんの細菌がいるため、ヌルヌルとしたプラーク(歯垢)が自然に歯の表面に付きます。
このプラーク(歯垢)にはたくさんの細菌が潜んでおり、虫歯や歯周病・口臭などの最大の原因です。そのため、毎日の歯磨きでプラーク(歯垢)をキレイに取り除くことが、健康な歯を保つためには欠かせません。
しかし、プラークは歯の色と似ているため、見ただけでは付着しているかどうかがハッキリとは分かりません。
染め出し液を使ってプラークを染め出すことにより、普段の歯みがきで磨き残している場所を目で確かめることができます。
PMTCでは隅々までスッキリとプラークや歯石などを取り除くため、施術後に舌でさわると歯の表面がツルツルします。これが汚れがしっかり落ちた、お口本来の感触です。この感触、気持ちよさを記憶しておくと毎日のホームケアでの磨き足りない部分の発見につながります。
お口の中のスッキリとした爽快感を実感できるのが、PMTCのメリットでもあります。
また、歯石がついた歯はザラつきがあるため、着色が付きやすい状態になります。定期的に歯科医院で専門のクリーニングを行い、仕上げにはトリートメントも行い歯にミネラルを補給し、なめらかにすることで、汚れや着色(ステイン)がつきにくくなります。
日々の歯磨きを上達するには、まずどこが磨けていないか認識することが大切です。
PMTCでは、一人ひとりのお口の状態により、使用する器具や材料を使い分けたり、コース時間などについてもその都度ご相談をしています。
担当
表参道しらゆり歯科 DH西澤
PMTCの注意事項(リスク・副作用など)
- 歯を白くする目的の施術ではありません
- 保険適用外となります
当サイトの内容、テキスト、画像等の無断転載、複製、複写、盗用を固く禁じます。








 
                       
                                                          









 
                   
                   
                  