症例詳細
Case detail
前歯のセラミックのチェックも合わせてPMTCでメンテナンス
治療症例の内容
- 診療科目
- 治療カテゴリ
- 患者様
- 40代男性
- 治療期間
- 1日
- 治療回数
- 1回
- 治療計画
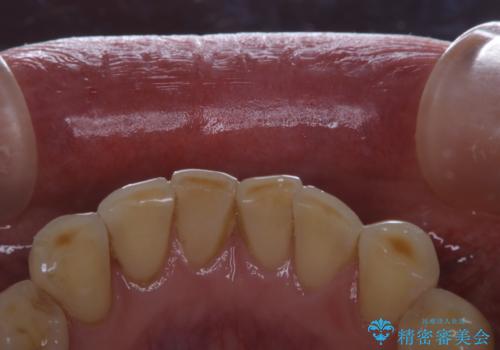
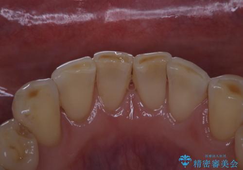
- 前歯のブリッジの治療後も定期的にPMTCを受けている方です。3カ月メンテナンスとのことでPMTC30分コースを行いました。
- 費用(概算)
- 5500円費用は治療当時の料金となります
治療について
歯科治療は、終了後も定期的にメンテナンスを行うことがとても大切です。
治療後は、ご自身でのセルフケアと歯科医院での専門的なケアを重ねることで健康なお口の環境を維持することに繋がります。
メンテナンスの際には、治療後のセラミックなどに問題がないかのチェックなどのも行います。
なにかあった場合も、定期的なメンテナンスを受けていることで早期発見に繋がります。
担当
表参道しらゆり歯科 DH西澤
PMTCの注意事項(リスク・副作用など)
- 歯を白くする目的の施術ではありません
- 保険適用外となります
当サイトの内容、テキスト、画像等の無断転載、複製、複写、盗用を固く禁じます。





