症例詳細
Case detail
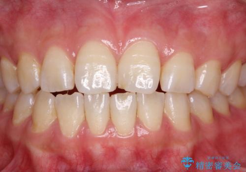
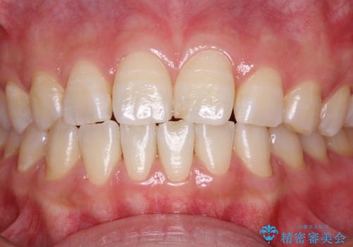
光学3Dスキャナー【iTero Element】でスキャニング前にPMTC
治療症例の内容
- 診療科目
- 治療カテゴリ
- 患者様
- 20代女性
- 治療期間
- 1日
- 治療回数
- 1回
- 治療計画
- インビザラインのでの矯正治療が今後スタートするため、きれいな状態でスキャニングしたいとのことでした。PMTC30分コースを行いました。
- 費用(概算)
- 5500円費用は治療当時の料金となります
治療について
インビザラインでの矯正治療では、マウスピース作成のための型どりを光学3Dスキャナー(iTero Element)を使用して行います。
その際、直前などにPMTCを行い、歯の汚れを取り除いておくと、より綺麗にスキャンできます。これからインビザラインがスタートするため、お口の中をきれいにしておくと、マウスピースの汚れ防止や口臭予防にもなります。
担当
表参道しらゆり歯科 DH西澤
PMTCの注意事項(リスク・副作用など)
- 歯を白くする目的の施術ではありません
- 保険適用外となります
当サイトの内容、テキスト、画像等の無断転載、複製、複写、盗用を固く禁じます。




