症例詳細
Case detail
数年ぶりに歯科医院で歯石除去
治療症例の内容
- 診療科目
- 治療カテゴリ
- 患者様
- 40代女性
- 治療期間
- 1日
- 治療回数
- 1回
- 治療計画
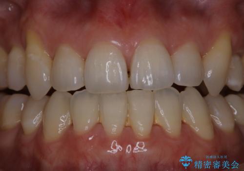
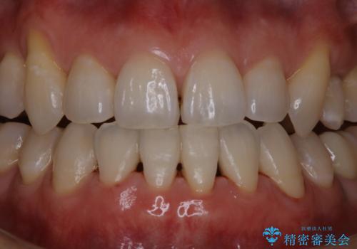
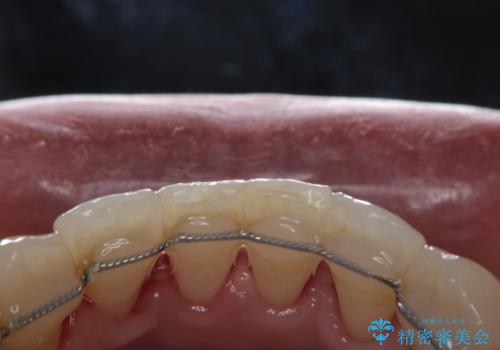
- 以前、他院で矯正治療をしていて、まだ保定装置をつけたままとのこと。保定装置の周りが磨きにくく歯石が溜まってきたためクリーニングを受けたいとのことでした。PMTC60分コースを行いました。
- 費用(概算)
- 11000円費用は治療当時の料金となります
治療について
歯科医院で行う専門的なお掃除・クリーニンング(PMTC)とは、普段の歯磨きでは届かない歯周ポケットの中や、硬くこびりついた歯石、バイオフィルムを専用の機械を使用して取り除いていくことです。
PMTCを行うと、歯面が平骨になることであらたな汚れがつきにくくなります。
歯科医院での専門的なお掃除を定期的に行うことで、炎症の原因を大幅に除去することができます。
担当
表参道しらゆり歯科 DH西澤
PMTCの注意事項(リスク・副作用など)
- 歯を白くする目的の施術ではありません
- 保険適用外となります
当サイトの内容、テキスト、画像等の無断転載、複製、複写、盗用を固く禁じます。








 
                       
                                                          





 
                   
                   
                  