症例詳細
Case detail
低価格でしっかりとしたインプラント治療 30代男性
治療症例の内容
- 治療カテゴリ
 
- 担当医
 
- 患者様
 - 30代男性
 
- 治療期間
 - 5ヶ月
 
- 治療回数
 - 5-10回
 
- 治療計画
 - インプラントをできるだけ安く入れたいとご希望され来院された患者様です。
予算は抑えたいが確実でしっかりとした治療を受けたいとの事でした。
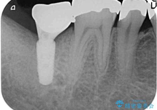
レントゲン及びCTを撮影し骨の状態を確認したのち、アルファタイトインプラントによる治療を行いました。
 
- 費用(概算)
 - ¥385,000 (インプラント、アバットメント、仮歯、クラウン) ※税込費用は治療当時の料金となります
 
治療について
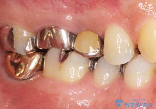
患者様のご希望によりPGA(金白金合金)クラウンによる補綴を行いました。
「金歯は咬み心地もいいし、見た目もカッコイイ!」と喜んで下さいました。
自然な使用感にご満足頂き、他の部位もPGAクラウンによる治療をご希望され現在治療中です。
インプラントの種類:アルファタイト
クラウンの種類:PGA(Platinum Gold cast Alloy・金白金合金)クラウン
インプラント治療の注意事項(リスク・副作用など)
- 外科手術のため、術後に痛みや腫れ、違和感を伴います
 - メンテナンスを怠ったり喫煙により、お口の中に大きな悪影響を及ぼすインプラント周囲炎等にかかる可能性があります
 - 糖尿病、肝硬変、心臓病等の場合、インプラント治療ができない可能性があります
 - 高血圧、貧血・不整脈等の場合、インプラント治療後に治癒不全を招く可能性があります
 - 自費診療(保険適用外治療)となります
 
PGA(ゴールド)クラウン、インレーの注意事項(リスク・副作用など)
- インレーおよびクラウンは脱離するリスクがあります
 - 形成量はセラミックより少ないですが、歯の形成、修復後に歯に症状が出ることがあります
 - 自費診療(保険適用外治療)となります
 
当サイトの内容、テキスト、画像等の無断転載、複製、複写、盗用を固く禁じます。

                      
                                                          












