症例詳細
Case detail
奥歯にフロスを通すと臭い 30代女性
治療症例の内容
- 診療科目
- 治療カテゴリ
- 担当医
- 患者様
- 30代女性
- 治療期間
- 2ヶ月
- 治療回数
- 2-5回
- 治療計画
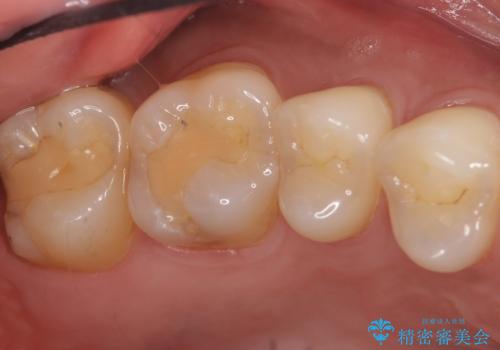
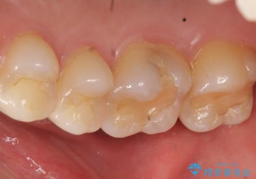
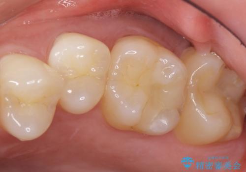
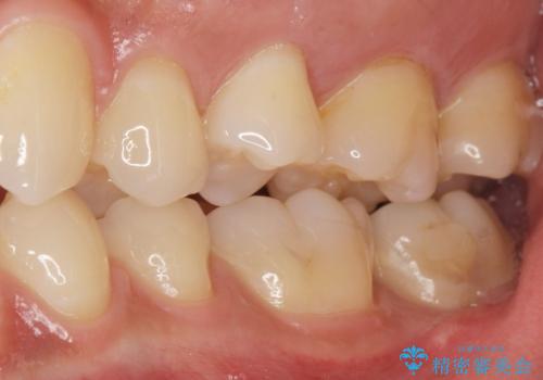
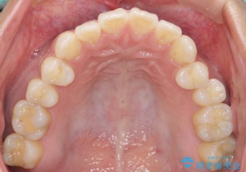
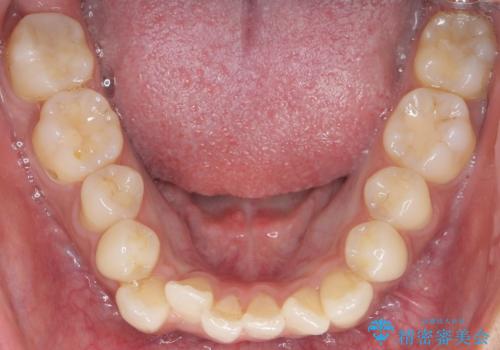
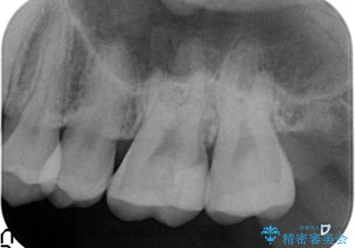
- 奥歯にフロスを通すとにおいがすることを気にされ、来院された患者様です。
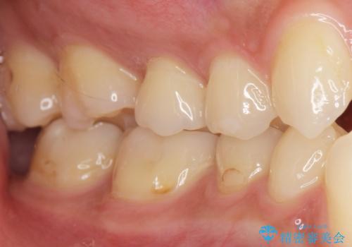
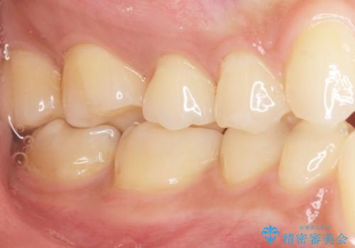
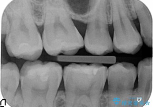
精査したところ、奥歯に充填された保険内のコンポジットレジンの適合が悪いことにより、汚れがたまりやすい状態でした。
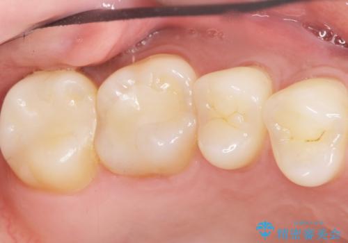
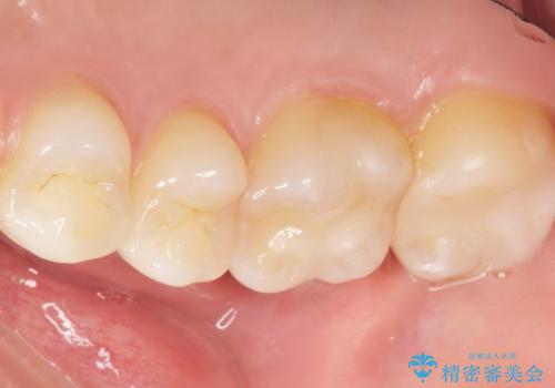
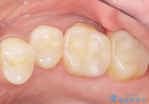
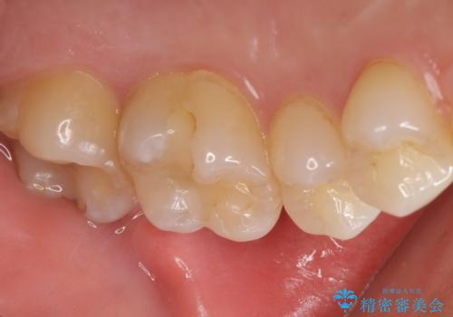
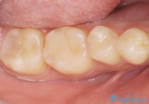
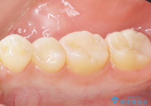
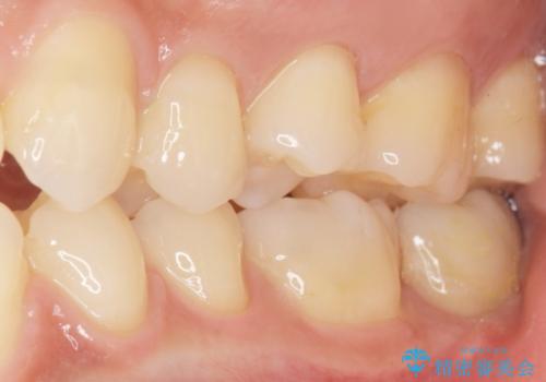
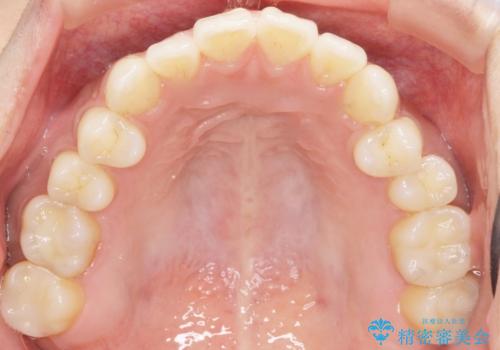
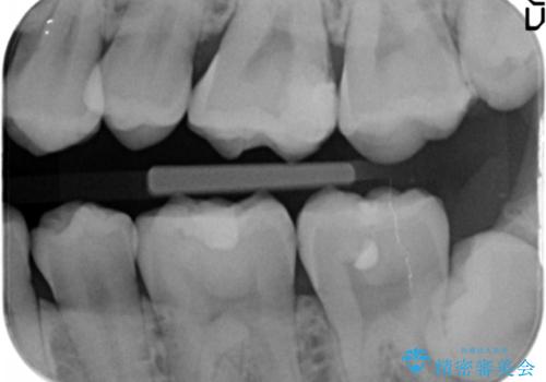
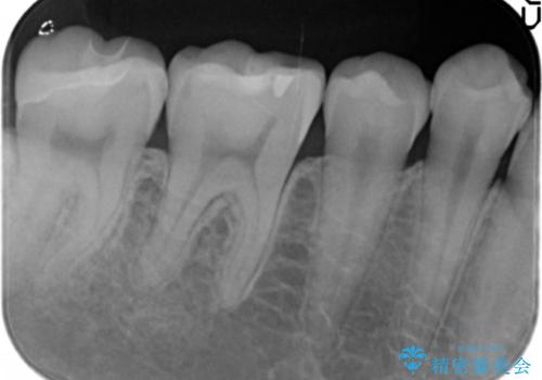
不適合なレジンを除去し、セラミックインレーによる治療を行いました。(右上76左上67右下7の計5本)
- 費用(概算)
- ¥385,000 (セラミックインレー×5本) ※税込費用は治療当時の料金となります
治療について
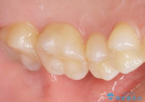
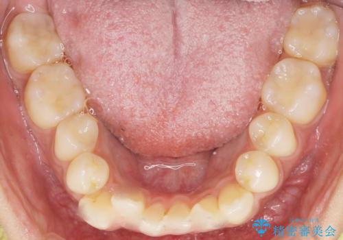
気にされていたフロスをした時のにおいがなくなり、喜んで頂けました。
治療終了後半年のメンテナンス時には「咬み合わせもばっちりです!」とおっしゃって下さいました。
インレーの種類:セラミックインレー e-max press
セラミック治療の注意事項(リスク・副作用など)
- 天然歯を削ります
- 硬い素材は天然歯を傷つけてしまう場合があります
- かみ合わせや歯ぎしりが強すぎる方はセラミックが割れてしまう可能性があります
- 自費診療(保険適用外治療)となります
当サイトの内容、テキスト、画像等の無断転載、複製、複写、盗用を固く禁じます。


























