症例詳細
Case detail
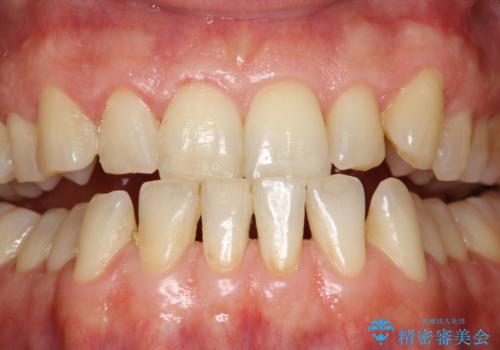
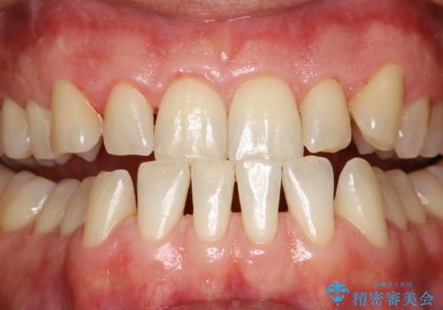
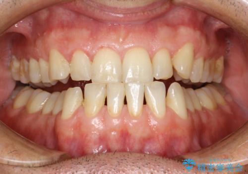
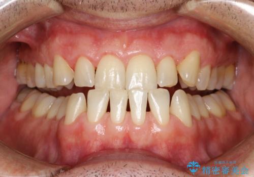
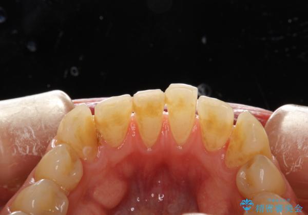
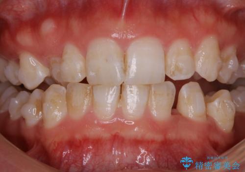
歯磨き中に血が出る PMTCで歯石除去
治療症例の内容
- 診療科目
- 治療カテゴリ
- 患者様
- 40代男性
- 治療期間
- 1日
- 治療回数
- 1回
- 治療計画
- 毎日の歯磨きの際に出血する。歯科でにクリーニンングをしばらくしていないとのことでした。PMTC60分コースを行いました。
- 費用(概算)
- 11,000円(税込)費用は治療当時の料金となります
治療について
歯磨きの際の出血は、歯肉炎や歯周病の症状とも言えます。歯周ポケットに歯周病菌が棲みつき、歯周病菌の出す毒素が歯茎に炎症を起こします。炎症が拡大し、歯周組織が破壊されたまま放置すると、最悪の場合、歯を支えている骨が溶かされ、歯がぐらぐらしてきます。
ただし、生きている限り、歯周病菌から逃れることは不可能です。
そのため重要なのが、毎日の歯磨きで可能な限り汚れを取り除くこと・定期的に歯科医院で歯周病の検査をしたり、歯石除去や歯茎の炎症を取り除くことです。
担当歯科衛生士
表参道しらゆり歯科 DH西澤
PMTCの注意事項(リスク・副作用など)
- 歯を白くする目的の施術ではありません
- 保険適用外となります
当サイトの内容、テキスト、画像等の無断転載、複製、複写、盗用を固く禁じます。








