症例詳細
Case detail
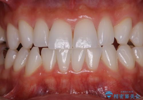
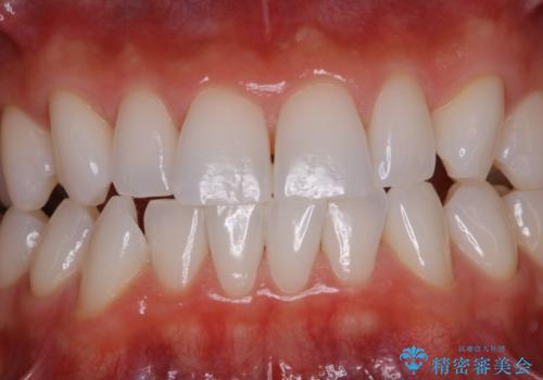
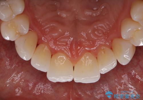
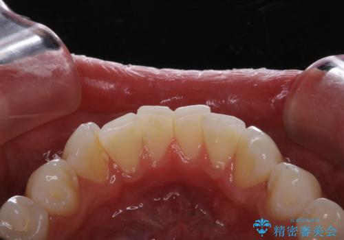
ホワイトニング前にPMTC
治療症例の内容
- 診療科目
- 治療カテゴリ
- 患者様
- 20代女性
- 治療期間
- 1日
- 治療回数
- 1回
- 治療計画
- 今後、ホワイトニングを予定しているため、まずはクリーニングを行っていきたいとのことでした。PMTC30分コースを行いました。
- 費用(概算)
- 5,500円(税込)費用は治療当時の料金となります
治療について
ホワイトニングの前には、歯石や歯の汚れを徹底的に除去していく必要があります。なぜなら、歯に汚れが付いているままホワイトニングをすると薬液の浸透が悪く、ホワイトニングの効果が下がってしまうからです。
そのため、基本的には事前にクリーニンングを行ったり、ホワイトニング直前に処置前クリーニングをしていただいております。
歯を綺麗にした状態でホワイトニングを行うことで、より歯を白くする効果が期待できます。
担当歯科衛生士
表参道しらゆり歯科 DH西澤
PMTCの注意事項(リスク・副作用など)
- 歯を白くする目的の施術ではありません
- 保険適用外となります
当サイトの内容、テキスト、画像等の無断転載、複製、複写、盗用を固く禁じます。








