症例詳細
Case detail
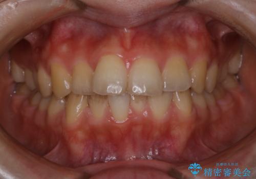
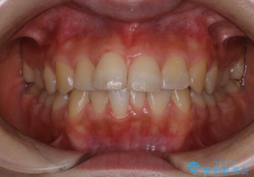
結婚式の前にPMTCで1日できれいな口元に
治療症例の内容
- 診療科目
- 治療カテゴリ
- 患者様
- 20代女性
- 治療期間
- 1日
- 治療回数
- 1回
- 治療計画
- 結婚式があるため、できる限りできれいにクリーニンングしてほしいとのことでした。PMTC60分コースを行いました。
- 費用(概算)
- 11,000円(税込)費用は治療当時の料金となります
治療について
プラークが放置されると、そこで歯周病菌が繁殖し始めます。よって歯肉に炎症が生じ、歯周病に引き金となります。
PMTC(保険外治療)は、毎日の歯磨きで落としきれない汚れや、コーヒ、紅茶・タバコのヤニなどの着色も除去します。目には見えない歯と歯の間・歯肉の境目などに残っているプラーク(歯垢)もしっかり取り除きます。PMTCでは専門的な機械や材料を使用して、徹底的に汚れを除去するため、虫歯・歯周病・口臭予防などにつながります。
またPMTCを行うことで、ご自身本来の歯の色になり自然な明るさになります。
口元が自然な明るさになることで、より清潔感のある印象になるため結婚式・行事やイベント前などにもPMTCを行うはおすすめです。
担当歯科衛生士
表参道しらゆり歯科 DH西澤
PMTCの注意事項(リスク・副作用など)
- 歯を白くする目的の施術ではありません
- 保険適用外となります
当サイトの内容、テキスト、画像等の無断転載、複製、複写、盗用を固く禁じます。




