症例詳細
Case detail
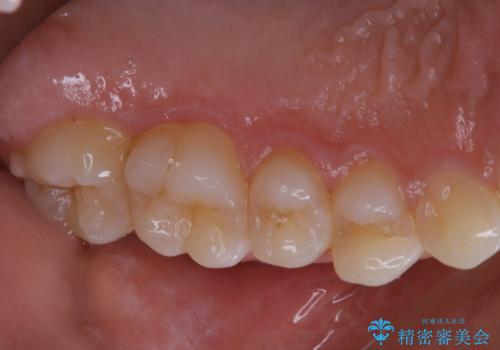
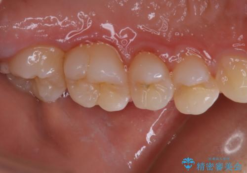
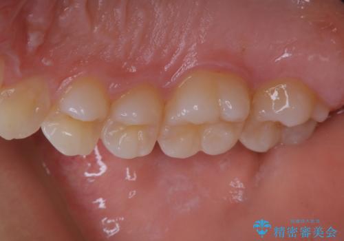
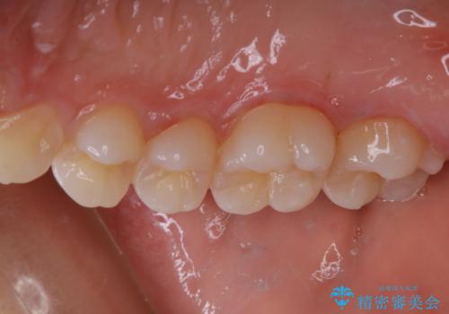
久しぶりの歯のクリーニング(Professional Mechanical Tooth Cleaning)
治療症例の内容
- 診療科目
- 治療カテゴリ
- 患者様
- 20代女性
- 治療期間
- 1日
- 治療回数
- 1回
- 治療計画
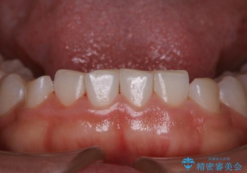
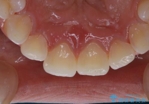
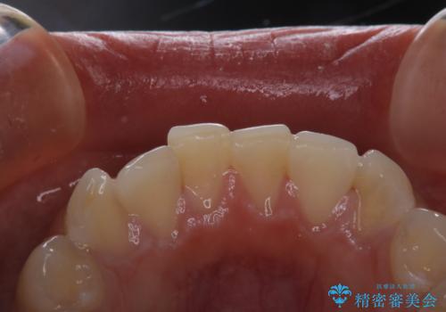
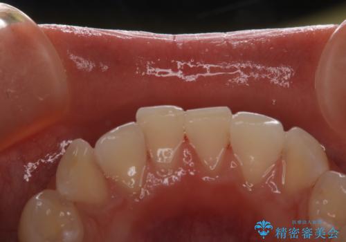
- 久しぶりに歯医者でのクリーニンングを受けたいとのことで来院されました。PMTC30分コースを行いました。
- 費用(概算)
- 5,500円(税込)費用は治療当時の料金となります
治療について
PMTCとはProfessional Mechanical Tooth Cleaningの略で、歯科医師や歯科衛生士が機械を使った歯面の清掃のことをいいます。
PMTCで歯垢や歯石を取り除くと、お口のトラブルの予防になると同時に、蓄積した着色汚れも落とすことができ、見た目もキレイになり一石二鳥です。
歯科医院でクリーニングを行うと、自分では取り切れない汚れの除去ができ口臭予防にもプラスとなります。
担当歯科衛生士
表参道しらゆり歯科 DH西澤
PMTCの注意事項(リスク・副作用など)
- 歯を白くする目的の施術ではありません
- 保険適用外となります
当サイトの内容、テキスト、画像等の無断転載、複製、複写、盗用を固く禁じます。














