症例詳細
Case detail
歯科医院でのメンテナンス
治療症例の内容
- 診療科目
- 治療カテゴリ
- 患者様
- 20代男性
- 治療期間
- 1日
- 治療回数
- 1回
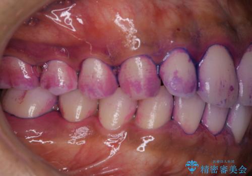
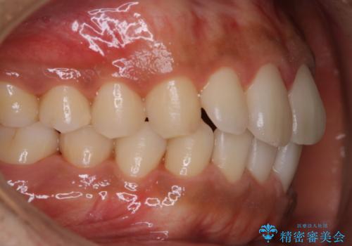
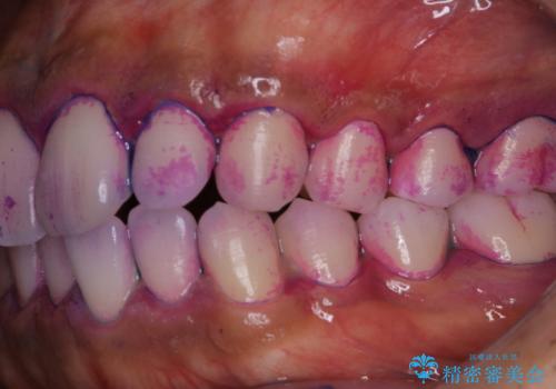
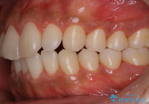
- 治療計画
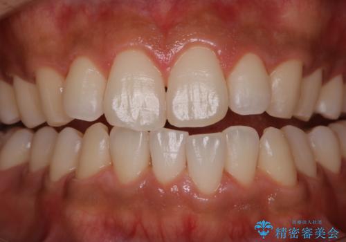
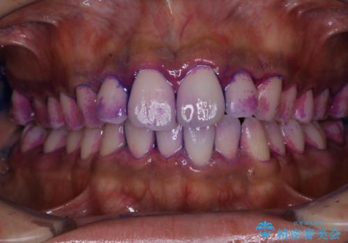
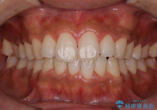
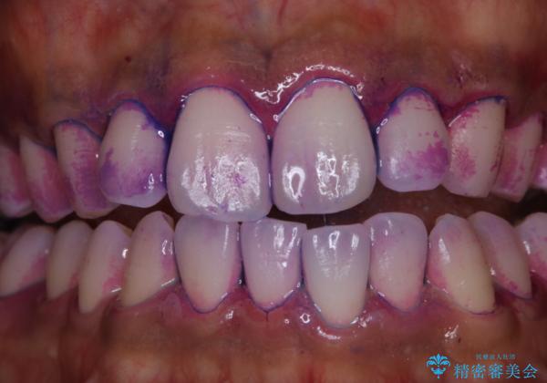
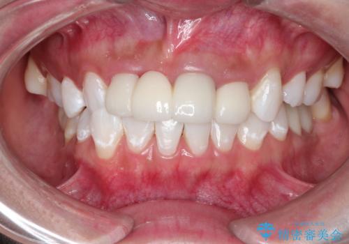
- 特に症状など気になるところはないが、メンテナンスして欲しいとのことでした。染め出しをしてのブラッシング指導とPMTC30分コースを行いました。
- 費用(概算)
- 5,500円(税込)費用は治療当時の料金となります
治療について
染め出しをすると、現在付着しているプラークを確認できて、今後の正しいハミガキの方法を知るチャンスとなります。
磨き残しが多くなると、お口の健康を維持していくのが難しくなってしまいます。お口の健康を守っていくためには、毎日のハミガキを行っていくのが基本です。そのため、なにか症状がなくても定期的に歯科医院で口の健康状態のチェックをすることが大切です。
担当歯科衛生士
表参道しらゆり歯科 DH西澤
PMTCの注意事項(リスク・副作用など)
- 歯を白くする目的の施術ではありません
- 保険適用外となります
当サイトの内容、テキスト、画像等の無断転載、複製、複写、盗用を固く禁じます。








