症例詳細
Case detail
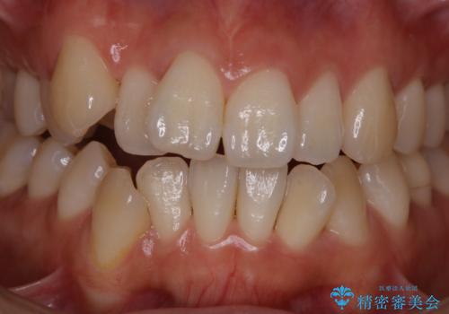
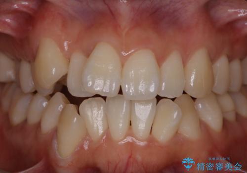
矯正治療開始前にPMTCでツルツルの歯に
治療症例の内容
- 診療科目
- 治療カテゴリ
- 患者様
- 20代女性
- 治療期間
- 1日
- 治療回数
- 1回
- 治療計画
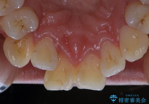
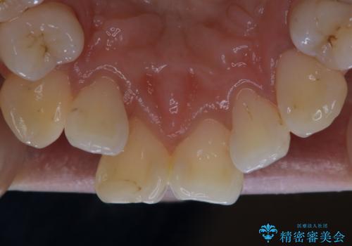
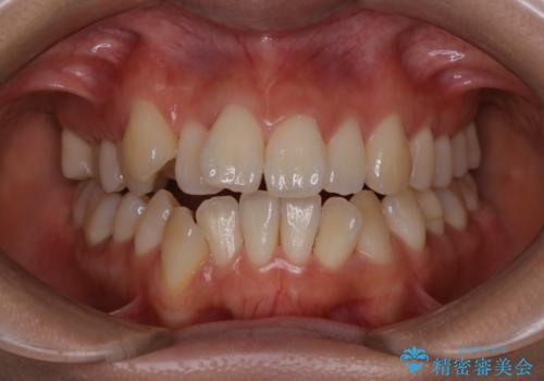
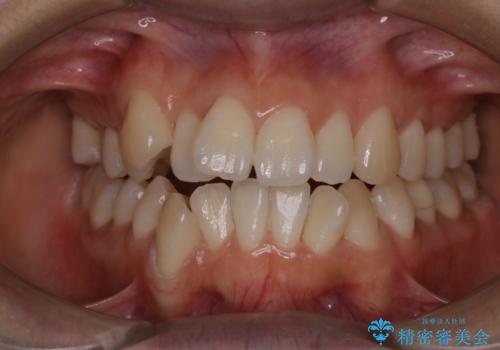
- 矯正治療開始前にできる限りきれいな状態にしたいとのことでした。PMTC30分コースを行いました。
- 費用(概算)
- 5,500円(税込)費用は治療当時の料金となります
治療について
プラーク(細菌の塊)や歯石がたまると歯の表面はザラつきいてきます。そのザラつきは歯周病や虫歯菌の棲家となります。そのまま放置すると、歯肉が腫れてきたり、歯肉から出血したり、口臭が強くでたりします。とくに歯肉の境目は、歯磨きで汚れを除去することが難しく、プラーク(細菌の塊)や歯石が溜まりやすい場所です。
歯並が、がたついている場合はなおさら汚れが溜まりやすいです。矯正治療前や定期的にPMTCをすることで、矯正治療中の歯肉トラブルを防ぐことにつながります。
担当歯科衛生士
表参道しらゆり歯科 DH西澤
PMTCの注意事項(リスク・副作用など)
- 歯を白くする目的の施術ではありません
- 保険適用外となります
当サイトの内容、テキスト、画像等の無断転載、複製、複写、盗用を固く禁じます。








