症例詳細
Case detail
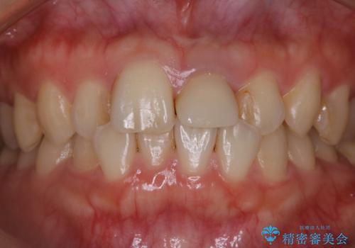
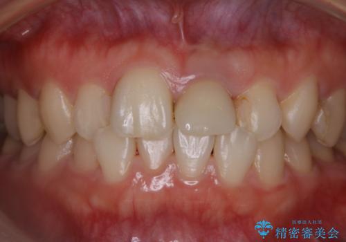
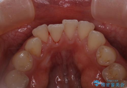
インビザラインのアタッチメントをつける前にPMTC
治療症例の内容
- 診療科目
- 治療カテゴリ
- 患者様
- 20代女性
- 治療期間
- 1日
- 治療回数
- 1回
- 治療計画
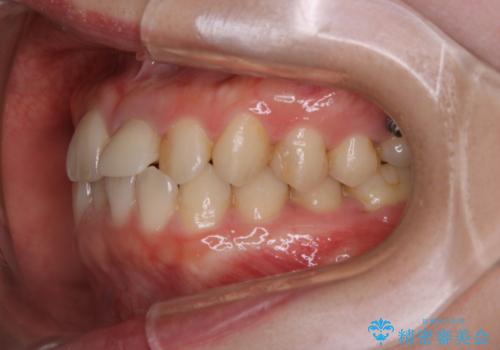
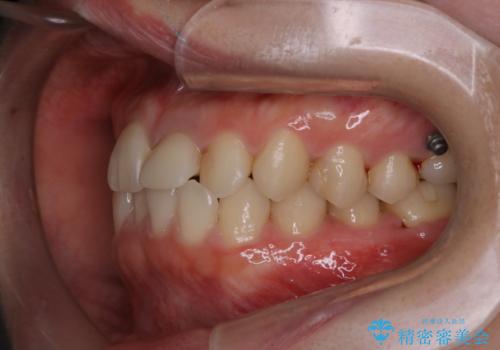
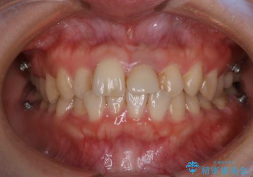
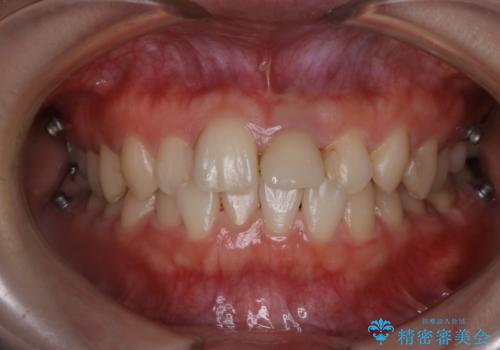
- インビザラインでの矯正治療中で、アタッチメントの設定前にきれな状態にしたいとのことでした。PMTC30分コースを行いました。
- 費用(概算)
- 5,500円(税込)費用は治療当時の料金となります
治療について
マウスピース矯正インビザライン治療では、歯の表面にアタッチメントという突起を設定します。(アタッチメントは歯の動きを効率的に移動するためのものです)
アタッチメントの設定時に、プラークや歯石・着色がついていると精密に付かないことや、外れやすくなることがあります。
PMTCを行い、専門的な機械でしっかりと汚れを除去してからアタッチメントの設定をすることがおススメです。
担当歯科衛生士
表参道しらゆり歯科 DH西澤
PMTCの注意事項(リスク・副作用など)
- 歯を白くする目的の施術ではありません
- 保険適用外となります
当サイトの内容、テキスト、画像等の無断転載、複製、複写、盗用を固く禁じます。










