症例詳細
Case detail
歯科矯正前にPMTCで清潔な口腔内に
治療症例の内容
- 診療科目
- 治療カテゴリ
- 患者様
- 20代女性
- 治療期間
- 1日
- 治療回数
- 1回
- 治療計画
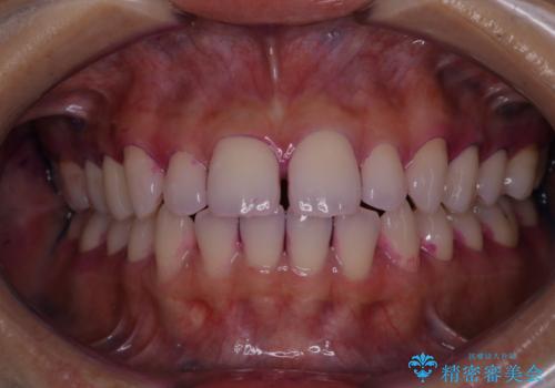
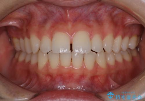
- これから矯正治療を始めていくため、きれいにしたいとのことでした。PMTC30分コースを行いました。
- 費用(概算)
- 5,500円(税込)費用は治療当時の料金となります
治療について
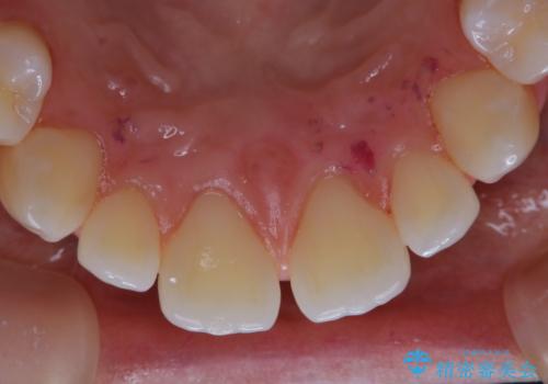
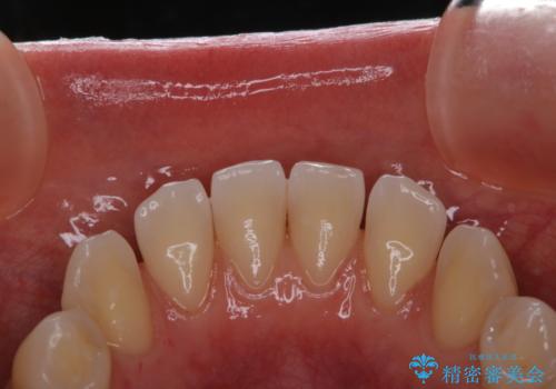
一見きれいに見える歯でも、染め出し(歯垢染色液)を使うとこのように歯と歯茎の境目や、歯と歯の間などに磨き残しがあることがわかります。歯磨きには、いつも気をつけているから磨き残しはナシと思っていても、実際完璧に磨ききることはなかなか難しいです。歯科医院にて、専門の機械で定期的なPMTCを行うことが大切です。
また、これから矯正治療が開始される方はなおさら歯磨きをマスターして、矯正治療中に虫歯や歯周病にならないようにケアする必要があります。
担当
表参道しらゆり歯科 DH西澤
PMTCの注意事項(リスク・副作用など)
- 歯を白くする目的の施術ではありません
- 保険適用外となります
当サイトの内容、テキスト、画像等の無断転載、複製、複写、盗用を固く禁じます。










