症例詳細
Case detail
妊娠中(5カ月)にPMTCでオーラルケア
治療症例の内容
- 診療科目
 
- 治療カテゴリ
 
- 患者様
 - 30代女性
 
- 治療期間
 - 1日
 
- 治療回数
 - 1回
 
- 治療計画
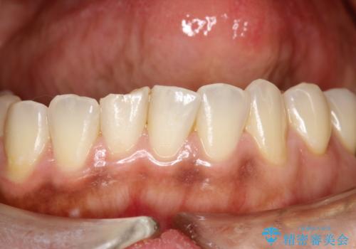
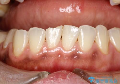
 - 現在妊娠5か月で、安定期に入ったため、出産前にお口のクリーニング希望とのことでした。PMTC60分コースを行いました。
 
- 費用(概算)
 - 11,000円(税込)費用は治療当時の料金となります
 
治療について
個人差がありますが、 つわりがなく妊娠前とかわらずに過ごしている方でしたら初期でもお口の中のクリーニングする事は可能です。
妊娠初期は、つわりなどの影響でしっかり磨くことができず、妊娠性歯肉炎や妊娠性歯周炎を起こしやすくなることがあります。
セルフケアだけでは、歯周病を治したり予防したりすることは困難です。
歯科医院で専門的なにクリーニングを行い、歯石除去や細菌に汚染された歯根面の掃除が大切です。
担当歯科衛生士
表参道しらゆり歯科 DH西澤
PMTCの注意事項(リスク・副作用など)
- 歯を白くする目的の施術ではありません
 - 保険適用外となります
 
当サイトの内容、テキスト、画像等の無断転載、複製、複写、盗用を固く禁じます。

                      
                                                          


