症例詳細
Case detail
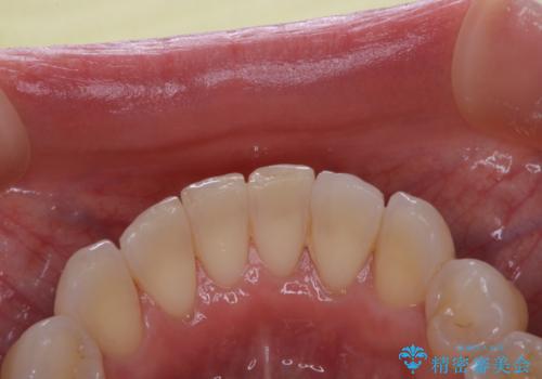
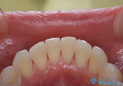
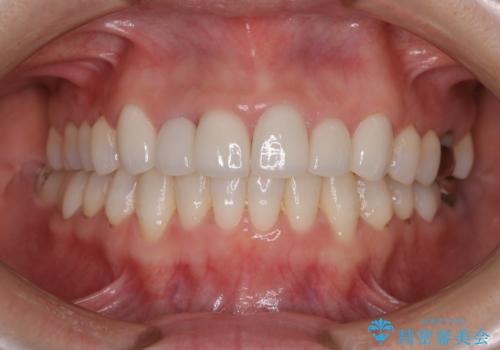
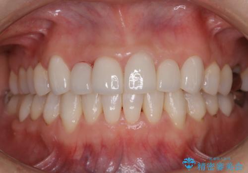
デンタルフロスが通せない PMTCでしっかり通るように
治療症例の内容
- 診療科目
- 治療カテゴリ
- 患者様
- 40代女性
- 治療期間
- 1日
- 治療回数
- 1回
- 治療計画
- フロスをする際に、なかなか通せない、通しずらいため、綺麗にクリーニングしてほしいとのことでした。PMTC30分コースを行いました。
- 費用(概算)
- 5,500円(税込)費用は治療当時の料金となります
治療について
歯科医院で行なわれる専門家による徹底した歯面清掃をPMTC(Professional Mechanical Tooth Cleaning)といいます。専用の機器とフッ化物入り研磨剤を使用して、歯みがきで落とせない歯石や磨き残したプラークを中心に総ての歯面の清掃と研磨を行ない、齲蝕や歯周病になりにくい環境を整えます。
歯石が溜まると、歯と歯の間が埋め尽くされてしまい、デンタルフロスが通りずらくなったり、通せなくなります。
かなり上手に磨ける人でも、セルフケアだけで、虫歯や歯周病予防を行うことには限界があります。
また、定期的に歯科医院にてクリーニングやチェックをしていると口腔内の変化があった場合の、早期発見につながります。口腔内の状態により、個人差はありますが約3か月を目安にPMTCを行うことがおすすめです。
担当歯科衛生士
表参道しらゆり歯科 DH西澤
PMTCの注意事項(リスク・副作用など)
- 歯を白くする目的の施術ではありません
- 保険適用外となります
当サイトの内容、テキスト、画像等の無断転載、複製、複写、盗用を固く禁じます。






