症例詳細
Case detail
前歯のセラミック製作前にPMTC
治療症例の内容
- 診療科目
- 治療カテゴリ
- 患者様
- 30代女性
- 治療期間
- 1日
- 治療回数
- 1回
- 治療計画
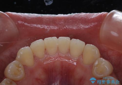
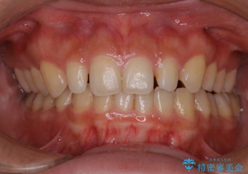
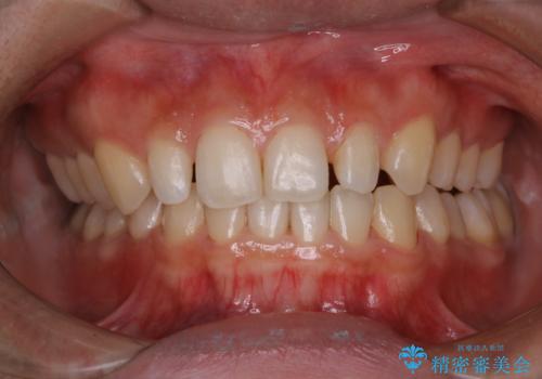
- 前歯のすき間をセラミックで治療するため、処置前にクリーニングを希望されました。PMTC30分コースを行いました。
- 費用(概算)
- 5,500円(税込)費用は治療当時の料金となります
治療について
PMTCは、国家資格取得者の歯科衛生士により、専門的な機械や材料を使用してのクリーニングです。一人一人の患者様のお口の状態に合わせたクリーニングを行います。
セラミック治療などの際に歯肉が腫れていたり、治療中に出血したりすると
、精密に型取りができなかったりすることがあります。
PMTCを行うことで、歯肉の引き締まりも期待できます。治療前にもPMTCを行うことはおすすめです。
担当
表参道しらゆり歯科 DH西澤
PMTCの注意事項(リスク・副作用など)
- 歯を白くする目的の施術ではありません
- 保険適用外となります
当サイトの内容、テキスト、画像等の無断転載、複製、複写、盗用を固く禁じます。






