症例詳細
Case detail
遊離端ブリッジ インプラント補綴への設計変更
治療症例の内容
- 担当医
- 大元洋佑(ドクタープロフィール)
- 患者様
- 50代女性
- 治療期間
- 8ヶ月
- 治療回数
- 5-10回
- 治療計画
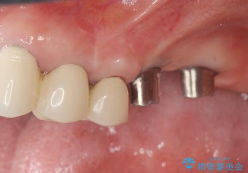
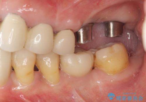
- 他院で治療した左上のセラミック部位の痛みを訴えて来院されました。
支台となる小臼歯に過大な負担のかかる遊離端ブリッジが装着されていたため、義歯かインプラントを用いた再補綴計画を提案しよりしっかりと噛めるインプラント治療をご希望されました。
- 費用(概算)
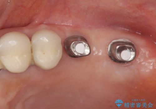
- 80万円(ストローマンインプラント×2・チタンカスタムアバットメント×2・ジルコニアクラウン×2)費用は治療当時の料金となります
最後方臼歯の補綴治療について
親知らずを除く、一番後ろの歯を失った場合(第二大臼歯)ブリッジによる機能回復は支台となる歯の大きな負担となり将来的に歯をさらに失う原因の一つとなりえます。
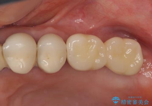
力学的に無理のある遊離端ブリッジをインプラントを用いて長期的な予後を見込める補綴状態へと改善しました。
インプラント治療の注意事項(リスク・副作用など)
- 外科手術のため、術後に痛みや腫れ、違和感を伴います
- メンテナンスを怠ったり喫煙により、お口の中に大きな悪影響を及ぼすインプラント周囲炎等にかかる可能性があります
- 糖尿病、肝硬変、心臓病等の場合、インプラント治療ができない可能性があります
- 高血圧、貧血・不整脈等の場合、インプラント治療後に治癒不全を招く可能性があります
- 自費診療(保険適用外治療)となります
当サイトの内容、テキスト、画像等の無断転載、複製、複写、盗用を固く禁じます。











