症例詳細
Case detail
他院でインプラントできないと言われた 上顎洞底挙上術を併用したインプラント 50代男性
治療症例の内容
- 患者様
- 50代男性
- 治療期間
- 1年6ヶ月
- 治療回数
- 5-10回
- 治療計画
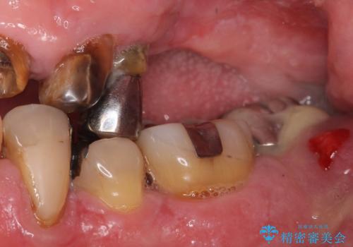
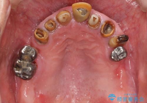
- 歯がぐらぐらで咬めないことを主訴に来院された患者様です。
他院では上顎骨が薄いためインプラントできないと言われたとのことでした。
精査したところ、歯周病に罹患した歯を長年放置したことから骨吸収が進行し、上顎骨の厚みはとても薄くなっていました。
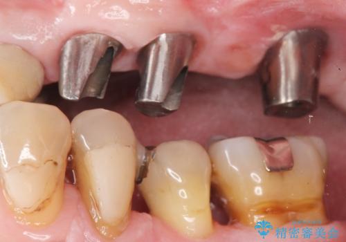
全顎的な歯周病治療を行ったのち、上顎洞底挙上術(上顎骨に骨を増やす手術)を併用したインプラント埋入を行いました。
- 費用(概算)
- ¥1,500,000 (上顎洞底挙上術、GBR、インプラント×3本、アバットメント×3本、仮歯×4本、被せ物×4本)費用は治療当時の料金となります
治療について
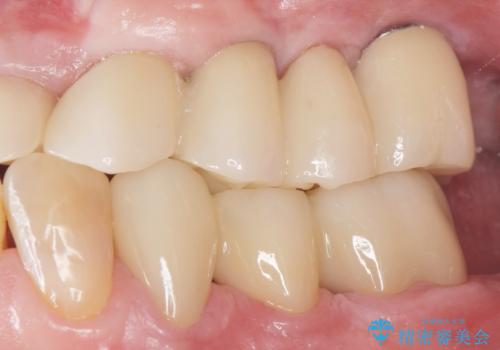
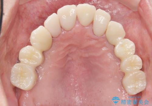
しっかりと咬むことができるようになり、喜んで頂けました。
他院ではお断りされたインプラント治療を行うことができ、ご満足頂けました。
インプラントの種類:ストローマン BLT
被せ物の種類:オールセラミッククラウン ベレッツァ
インプラント治療の注意事項(リスク・副作用など)
- 外科手術のため、術後に痛みや腫れ、違和感を伴います
- メンテナンスを怠ったり喫煙により、お口の中に大きな悪影響を及ぼすインプラント周囲炎等にかかる可能性があります
- 糖尿病、肝硬変、心臓病等の場合、インプラント治療ができない可能性があります
- 高血圧、貧血・不整脈等の場合、インプラント治療後に治癒不全を招く可能性があります
- 自費診療(保険適用外治療)となります
セラミック治療の注意事項(リスク・副作用など)
- 天然歯を削ります
- 硬い素材は天然歯を傷つけてしまう場合があります
- かみ合わせや歯ぎしりが強すぎる方はセラミックが割れてしまう可能性があります
- 自費診療(保険適用外治療)となります
当サイトの内容、テキスト、画像等の無断転載、複製、複写、盗用を固く禁じます。























