症例詳細
Case detail
インビザラインでのマウスピース矯正中にPMTCで着色をきれいに
治療症例の内容
- 診療科目
 
- 治療カテゴリ
 
- 患者様
 - 50代男性
 
- 治療期間
 - 1日
 
- 治療回数
 - 1回
 
- 治療計画
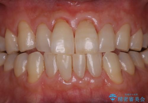
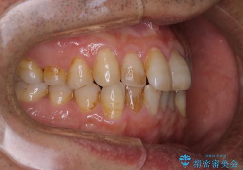
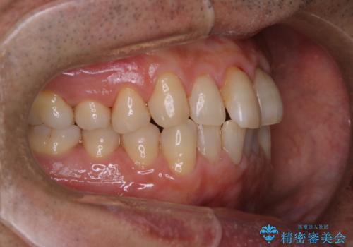
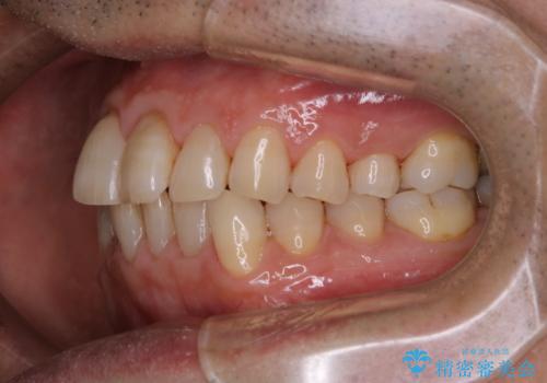
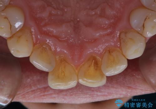
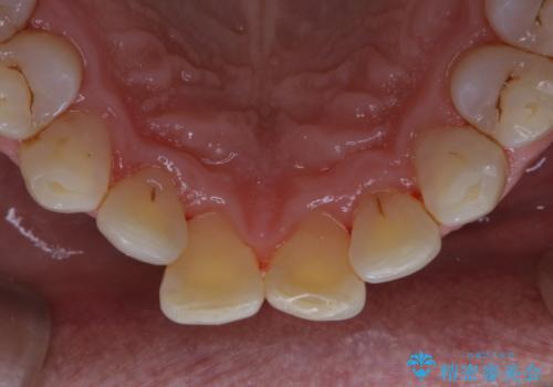
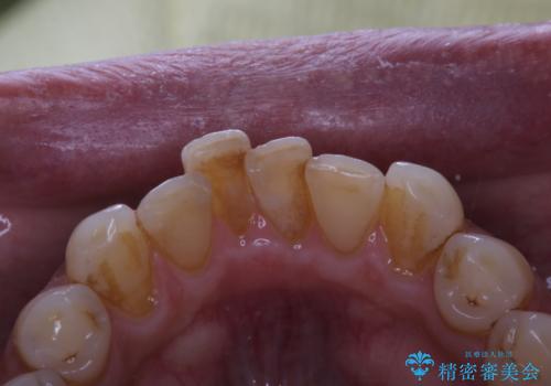
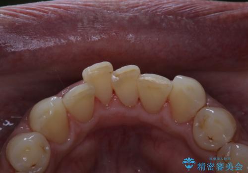
 - インビザラインでの矯正治療中の方です。コーヒーをよく飲むため、着色が気になるとのことでした。PMTC60分コースを行いました。
 
- 費用(概算)
 - 1万円+tax費用は治療当時の料金となります
 
治療について
毎日丁寧に歯磨きをしていても、日常生活での飲食物などにより着色してしまうことはあります。
PMTC(保険外治療)は、毎日の歯磨きで落としきれない汚れや、コーヒ、紅茶・タバコのヤニなどの着色も除去します。目には見えない歯と歯の間・歯肉の境目・インビザライン中はアタッチメント周囲などに残っているプラーク(歯垢)もしっかり取り除きます。PMTCでは専門的な機械や材料を使用して、徹底的に汚れを除去するため、虫歯・歯周病・口臭予防などにつながります。
また、仕上げのトリートメントでは歯の表面の凸凹にミネラルを補給して、ツルツルの表面に仕上げます。定期的にPMTCを行うことにより、歯質の強化になり着色がつきにくい状態になります。
普段の飲食物・歯磨き・生活習慣などにより着色の付き具合には個人差があります。どれくらいの頻度で行うことがベストかは、その都度担当の歯科衛生士とご相談します。
担当
表参道しらゆり歯科 DH西澤
PMTCの注意事項(リスク・副作用など)
- 歯を白くする目的の施術ではありません
 - 保険適用外となります
 
当サイトの内容、テキスト、画像等の無断転載、複製、複写、盗用を固く禁じます。

                      
                                                          










