症例詳細
Case detail
矯正を考えている方のPMTC
治療症例の内容
- 診療科目
- 治療カテゴリ
- 患者様
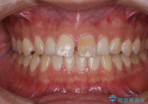
- 20代男性
- 治療期間
- 1日
- 治療回数
- 1回
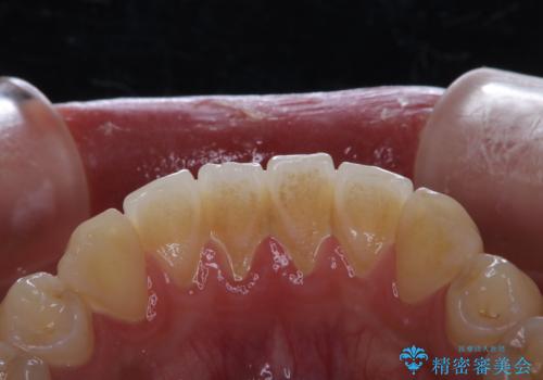
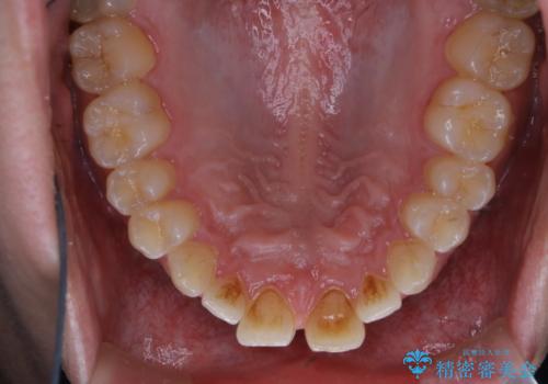
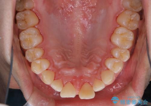
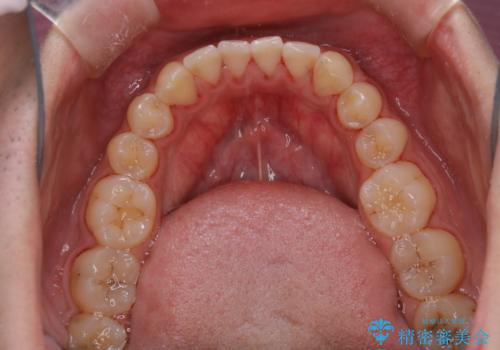
- 治療計画
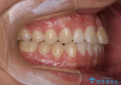
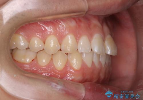
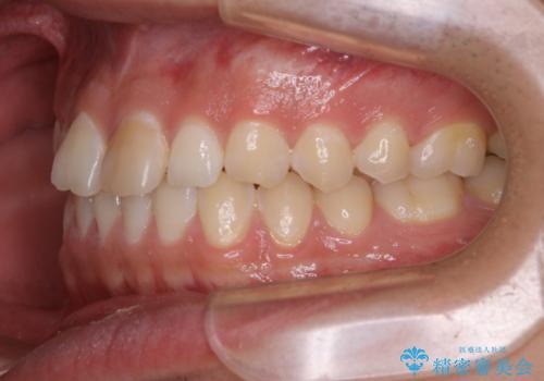
- 矯正治療を考えていて、歯科医院が久しぶりのためまずはクリーニングしたいとのことでした。PMTC60分コースを行いました。
- 費用(概算)
- 1万円+tax費用は治療当時の料金となります
治療について
矯正治療中は虫歯や歯周病リスクが高くなることがあります。
インビザライン矯正治療はマウスピースで1日20時間以上歯列全体を覆っているため、歯石や汚れなどが付着したままだと、フィットが悪くなったり、口臭が強く出たりする原因につながることもあります。
今後、矯正を考えている場合は、まず現状の口腔内をチェックし、虫歯や歯周病などを早期に発見し進行を防ぐことが大切です。
担当
表参道しらゆり歯科 DH西澤
PMTCの注意事項(リスク・副作用など)
- 歯を白くする目的の施術ではありません
- 保険適用外となります
当サイトの内容、テキスト、画像等の無断転載、複製、複写、盗用を固く禁じます。














