症例詳細
Case detail
1年ぶりの歯医者でクリーニング
治療症例の内容
- 診療科目
- 治療カテゴリ
- 患者様
- 30代女性
- 治療期間
- 1日
- 治療回数
- 1回
- 治療計画
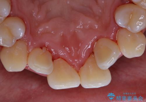
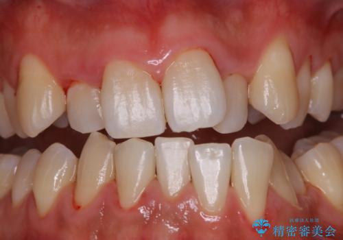
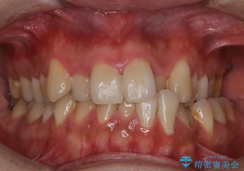
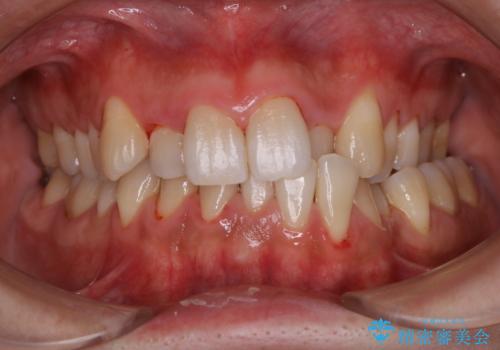
- 忙しく歯科医院でのメンテナンスが1年ぶりとのことで来院されました。PMTC60分コースを行いました。
- 費用(概算)
- 1万円+tax費用は治療当時の料金となります
治療について
プラークが放置されると、そこで病原菌が繁殖し始めます。そうなるとバイオフィルム(歯面に強固に付着したばい菌の膜)になり、歯肉に炎症が生じ歯周病の引き金となります。
プラークやバイオフィルムといった細菌などを放置すると歯石となります。歯石になってしまうと歯磨きでは取り除くことができないため、歯科医院にて専門的な機械や材料を使用してクリーニングを受ける必要があります。
PMTCを定期的に行い、お口の中を清潔に保つことで長期的に健康なお口の状態でいられることにつながりなす。
毎日かかさず食べる・飲む・噛む・話すなど当たり前の日常生活を快適に送れるように、歯科衛生士による専門的なクリーニングでサポートさせていただきたいと思います。
担当
表参道しらゆり歯科 DH西澤
PMTCの注意事項(リスク・副作用など)
- 歯を白くする目的の施術ではありません
- 保険適用外となります
当サイトの内容、テキスト、画像等の無断転載、複製、複写、盗用を固く禁じます。








