症例詳細
Case detail
審美装置でワイヤー矯正中の方 ワイヤーを外してPMTC
治療症例の内容
- 診療科目
- 治療カテゴリ
- 患者様
- 20代女性
- 治療期間
- 1日
- 治療回数
- 1回
- 治療計画
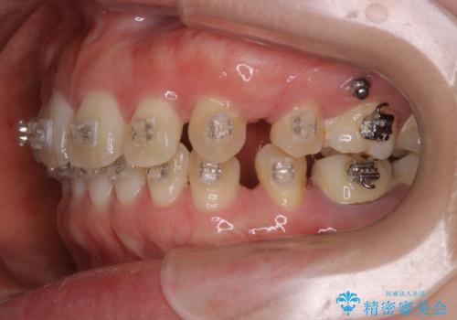
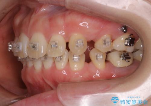
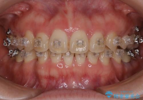
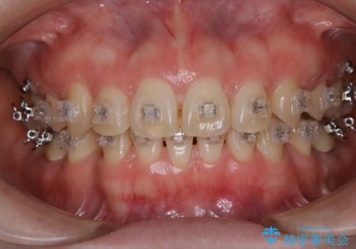
- ワイヤー矯正中に、装置の周りの細かい汚れが気になるとのことでした。上下のワイヤーを外してPMTC30分コースを行いました。
- 費用(概算)
- 5千円+tax費用は治療当時の料金となります
治療について
ワイヤー矯正は歯磨きが難しくなるものです。歯を動かしていることによりできてくるすき間や抜歯矯正の場合は大きなスペースがあります。特にそのような所には汚れがたまりやすくなります。そのため、着色がついたり、虫歯や歯周病、口臭のリスクが高くなります。毎日の歯磨きだけでは100%磨ききることは難しため、ワイヤー調整の診察の際など、定期的にクリーニングすることがおススメです。歯科医院にて、クリーニングを行う場合には、専門的な機械や材料が使用できるため、虫歯・歯周病・口臭などの予防効果も抜群です。
担当
表参道しらゆり歯科 DH西澤
PMTCの注意事項(リスク・副作用など)
- 歯を白くする目的の施術ではありません
- 保険適用外となります
当サイトの内容、テキスト、画像等の無断転載、複製、複写、盗用を固く禁じます。








