症例詳細
Case detail
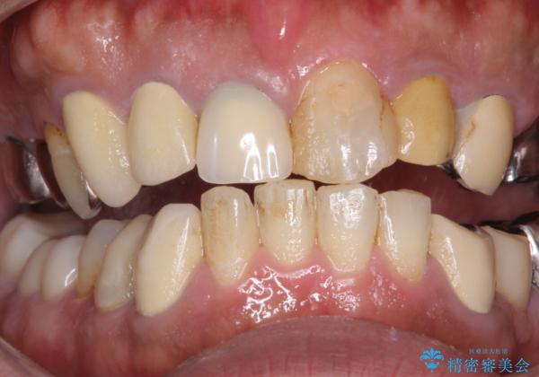
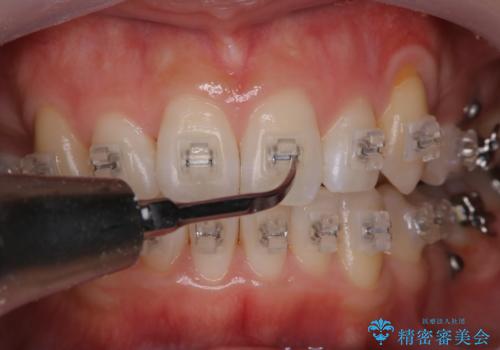
治療途中にステインをPMTCで除去
治療症例の内容
- 診療科目
- 治療カテゴリ
- 患者様
- 40代男性
- 治療期間
- 1日
- 治療回数
- 1回
- 治療計画
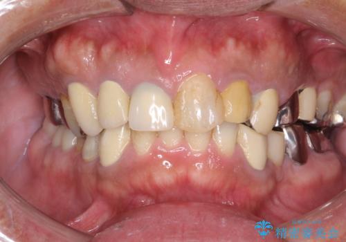
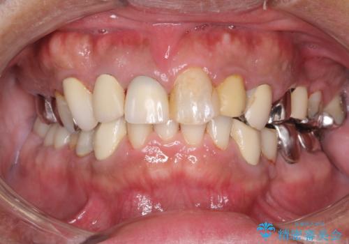
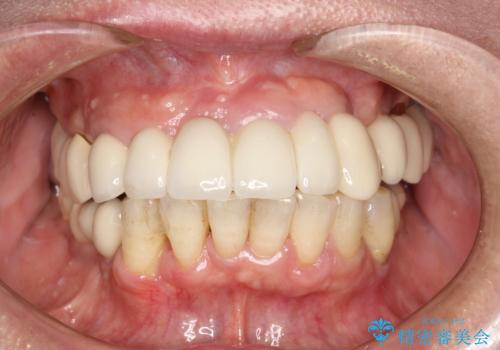
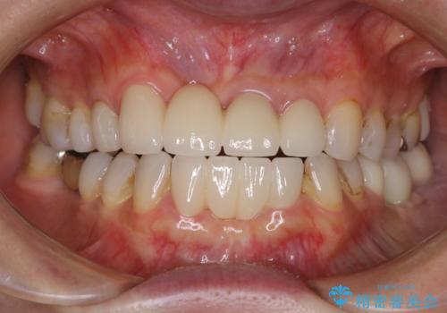
- 治療途中の際にステインが気になるとのことでした。PMTC30分コースを行いました。
- 費用(概算)
- 5千円+tax費用は治療当時の料金となります
治療について
治療期間中には仮歯を装着していきます。仮歯も技工所に発注をし、きれいな仮歯を制作します。
歯茎との調和や歯の形、かみ合わせなどの確認・修正などを行っていくため汚れが付着しやすくなったりステインがついたりすることがあります。そのため治療中もクリーニングを行い清潔で綺麗な状態を保つことがおすすめです。
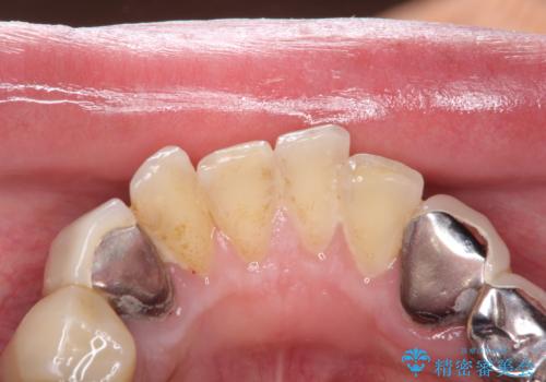
PMTCとはプロフェッショナル・メカニカル・トゥース・クリーニングの略です。
専門的な機械や器具を使用して歯のクリーニングを行います。
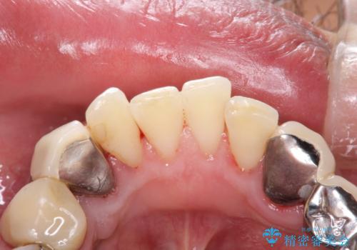
口の中には、目には見えない細菌がたくさんいます。歯周病は細菌による感染症です。歯面のプラークや着色(ステイン)など、細菌をしっかり除去し、治療の妨げにならないよう、治療中にもPMTCを行うことも大切です。
担当
表参道しらゆり歯科 DH西澤
PMTCの注意事項(リスク・副作用など)
- 歯を白くする目的の施術ではありません
- 保険適用外となります
当サイトの内容、テキスト、画像等の無断転載、複製、複写、盗用を固く禁じます。






