症例詳細
Case detail
虫歯の治療を始める前にPMTCできれいに
治療症例の内容
- 診療科目
- 治療カテゴリ
- 患者様
- 30代男性
- 治療期間
- 1日
- 治療回数
- 1回
- 治療計画
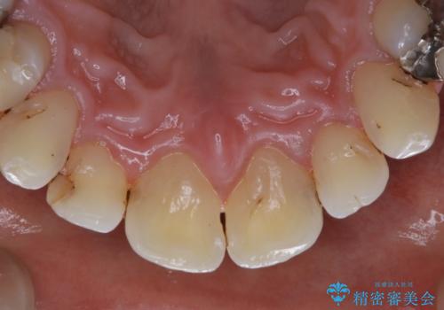
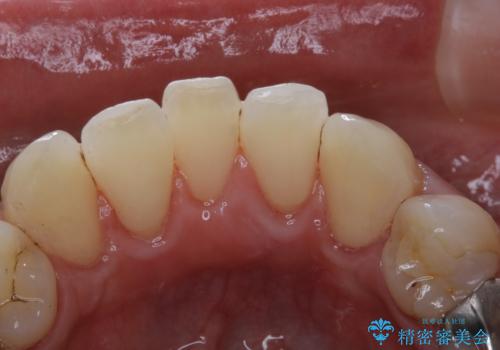
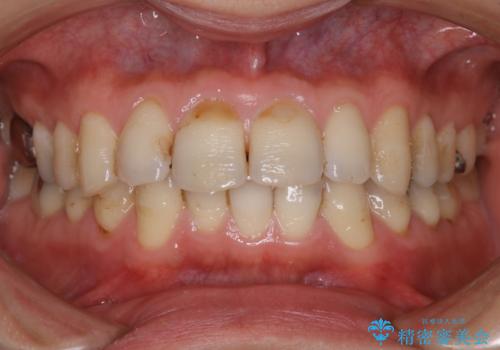
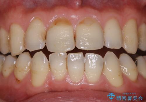
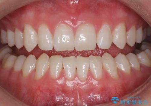
- 歯科がかなり久しぶりで、今後虫歯治療予定のためまずはクリーニングを希望されました。PMTC60分コースを行いました。
- 費用(概算)
- 1万円+tax費用は治療当時の料金となります
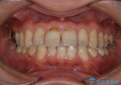
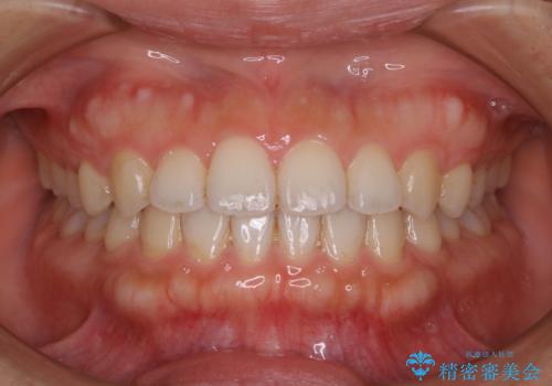
治療について
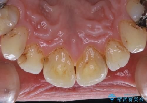
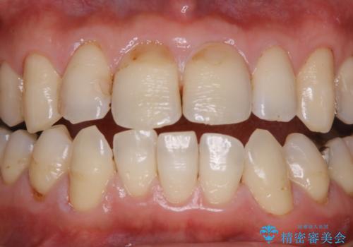
歯の表面に、茶色く色が残っている所がありますが、これは詰め物の変色の所と、虫歯になっている所です。以前に、CR(コンポジットレジン)による虫歯治療がされています。
CRは経年的劣化や、着色してしまうことがあります。PMTCでクリーニングを行うと、古いCRが目立つことがあるため、気になる際は詰め替えを行います。
茶色くなっている部分が、着色なのか、劣化なのか、虫歯によるものなのかは判別が難しいことがあります。そのため、定期的にPMTCを行うことで状態の確認が的確に行えます。
また、治療が開始される前などにも、全体的にクリーニングを行いご自身本来の歯の色、状態を精密に確認することが大切です。
担当
表参道しらゆり歯科 DH西澤
PMTCの注意事項(リスク・副作用など)
- 歯を白くする目的の施術ではありません
- 保険適用外となります
当サイトの内容、テキスト、画像等の無断転載、複製、複写、盗用を固く禁じます。












