症例詳細
Case detail
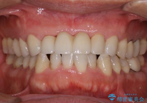
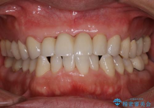
セラミックのチェックと合わせてPMTC
治療症例の内容
- 診療科目
- 治療カテゴリ
- 患者様
- 50代男性
- 治療期間
- 1日
- 治療回数
- 1回
- 治療計画
- セラミックをセットして、その後の経過時に合わせてクリーニングを希望されました。PMTC30分コースを行いました。
- 費用(概算)
- 5千円+tax費用は治療当時の料金となります
治療について
治療が終了したら、そこで終わりではなく、そこからのケア・メンテナンスがとても大切です。
いくら綺麗なセラミックがセットされても、歯ブラシが適切にできないと汚れが付着します。治療が終わったら、改めて現状のお口の中に合わせたブラッシング指導を行うことや、専門的なクリーニングを受けることで長期的に安定したお口の環境づくりにしていきます。
担当
表参道しらゆり歯科 DH西澤
PMTCの注意事項(リスク・副作用など)
- 歯を白くする目的の施術ではありません
- 保険適用外となります
当サイトの内容、テキスト、画像等の無断転載、複製、複写、盗用を固く禁じます。




