症例詳細
Case detail
イベント前に綺麗な歯にしたい
治療症例の内容
- 診療科目
- 治療カテゴリ
- 患者様
- 30代女性
- 治療期間
- 1日
- 治療回数
- 1回
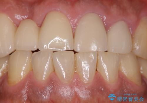
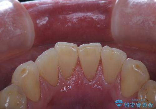
- 治療計画
- イベントがあるため、なるべく綺麗にしたいとのことで来院されました。PMTC60分コースを行いました。
- 費用(概算)
- 1万円+tax費用は治療当時の料金となります
治療について
プラークが放置されると、そこで歯周病菌が繁殖し始めます。よって歯肉に炎症が生じ、歯周病に引き金となります。
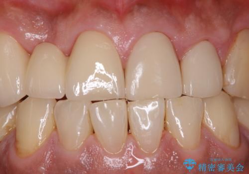
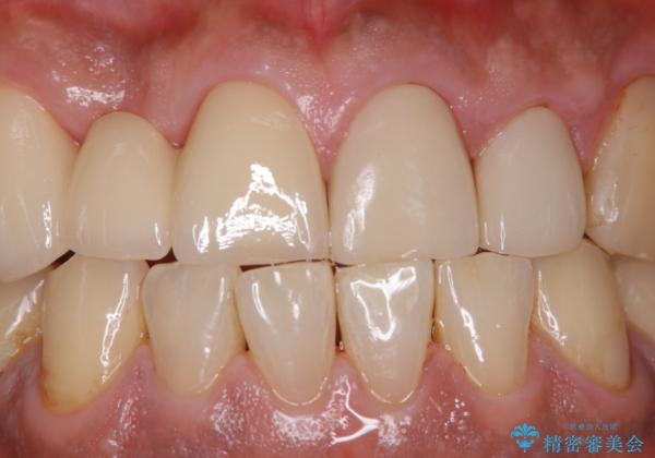
クリーニングを行うことで、汚れがを取り除くだけではなく、口臭予防にもなります。
またPMTCを行うことで、ご自身本来の歯の色になり自然な明るさになります。
口元が自然な明るさになることで、より清潔感のある印象になるため行事やイベント前などにもPMTCを行うはおすすめです。
担当
表参道しらゆり歯科 DH西澤
PMTCの注意事項(リスク・副作用など)
- 歯を白くする目的の施術ではありません
- 保険適用外となります
当サイトの内容、テキスト、画像等の無断転載、複製、複写、盗用を固く禁じます。






