症例詳細
Case detail
2カ月おきにメンテナンス
治療症例の内容
- 診療科目
- 治療カテゴリ
- 患者様
- 70代男性
- 治療期間
- 1日
- 治療回数
- 1回
- 治療計画
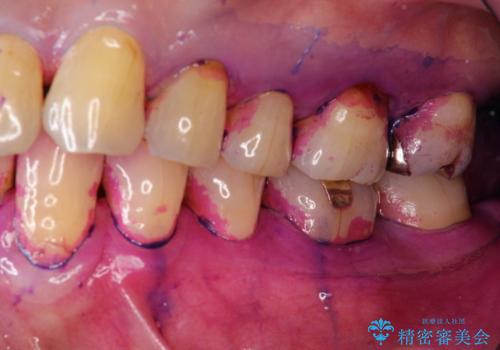
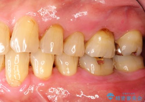
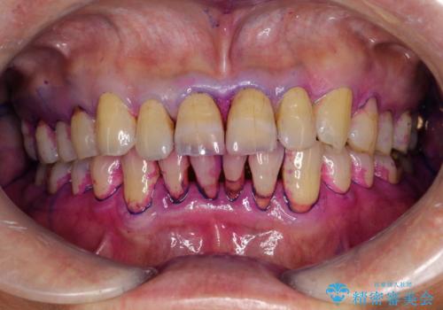
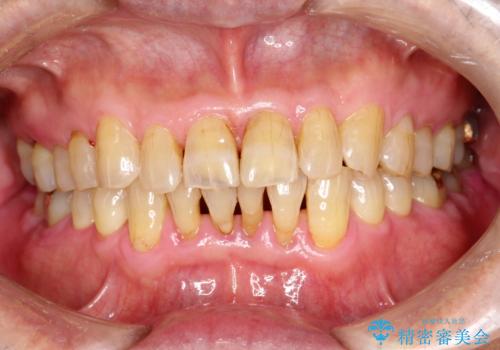
- 2カ月ごとにメンテナンスにいらしている方です。染め出しをしての歯磨きチェックとPMTC30分コースを行いました。
- 費用(概算)
- 5千円+tax費用は治療当時の料金となります
治療について
口腔内にはたくさんの細菌がいるため、ヌルヌルとしたプラーク(歯垢)が自然に歯の表面に付きます。
このプラーク(歯垢)にはたくさんの細菌が潜んでおり、虫歯や歯周病・口臭などの最大の原因です。そのため、毎日の歯磨きでプラーク(歯垢)をキレイに取り除くことが、健康な歯を保つためには欠かせません。
しかし、プラークは歯の色と似ているため、見ただけでは付着しているかどうかがハッキリとは分かりません。
染め出し液を使ってプラークを染め出すことにより、普段の歯みがきで磨き残している場所を目で確かめることができます。
日々の歯磨きを上達するには、まずどこが磨けていないか認識することが大切です。
担当
表参道しらゆり歯科 DH西澤
PMTCの注意事項(リスク・副作用など)
- 歯を白くする目的の施術ではありません
- 保険適用外となります
当サイトの内容、テキスト、画像等の無断転載、複製、複写、盗用を固く禁じます。










