症例詳細
Case detail
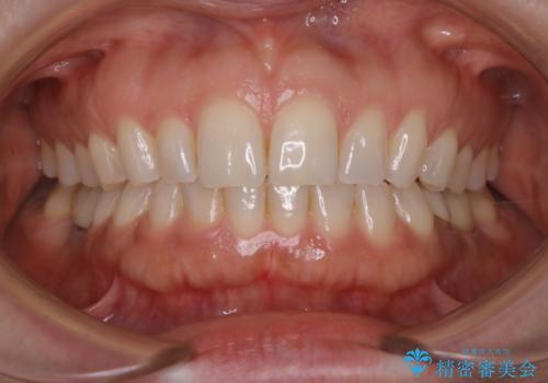
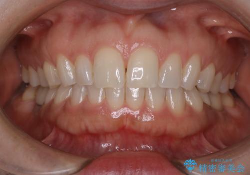
ワインによる黄ばみをPMTCできれいに除去
治療症例の内容
- 診療科目
- 治療カテゴリ
- 患者様
- 40代女性
- 治療期間
- 1日
- 治療回数
- 1回
- 治療計画
- ワインによる着色・黄ばんだ感じが気になるとのことでした。PMTC30分コースを行いました。
- 費用(概算)
- 5,500円(税込)費用は治療当時の料金となります
治療について
ワインのポリフェノール・タバコのヤニ・コーヒーや紅茶のタンニンの色素などは時間をかけて沈着し、歯を黄ばませていきます。
日常生活での飲食物などによる着色を定期的なクリーニングで除去することで、本来の歯の白さを取り戻すことができます。そのため、見た目の印象も明るさや美しさも目指すことができます。またPMTCでは、仕上げにトリートメント剤を表面に塗って歯の強化をします。
担当歯科衛生士
表参道しらゆり歯科 DH西澤
PMTCの注意事項(リスク・副作用など)
- 歯を白くする目的の施術ではありません
- 保険適用外となります
当サイトの内容、テキスト、画像等の無断転載、複製、複写、盗用を固く禁じます。




