症例詳細
Case detail
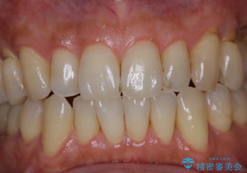
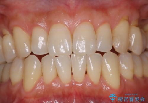
PMTCでメンテナンス
治療症例の内容
- 診療科目
- 治療カテゴリ
- 患者様
- 30代男性
- 治療期間
- 1日
- 治療回数
- 1回
- 治療計画
- PMTCでのメンテナンスを定期的に行っている方です。PMTC30分コースを行いました。
- 費用(概算)
- 5,500円(税込)費用は治療当時の料金となります
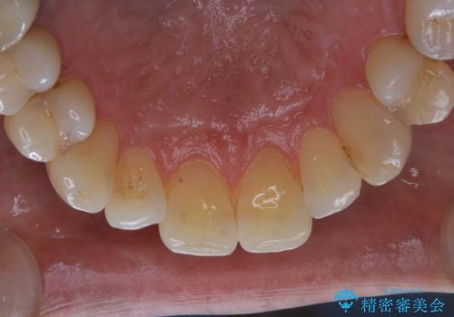
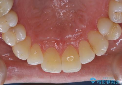
治療について
日々の磨き残しなどをそのまま放置すると、細菌が固まり硬い歯石になります。
歯石になってしまうと、とても硬く、歯ブラシで取り除くことが出来なくなります。
よって、歯科衛生士による専門的なクリーニングを定期的に行うことがとても大切です。
メンテナンスの間隔は個人差がありますが、基本的には2~3カ月に一度行うことをおすすめしています。
担当歯科衛生士
表参道しらゆり歯科 DH西澤
PMTCの注意事項(リスク・副作用など)
- 歯を白くする目的の施術ではありません
- 保険適用外となります
当サイトの内容、テキスト、画像等の無断転載、複製、複写、盗用を固く禁じます。








