症例詳細
Case detail
ワイヤー矯正終了時に装置除去と合わせてPMTC
治療症例の内容
- 診療科目
- 治療カテゴリ
- 患者様
- 20代男性
- 治療期間
- 1日
- 治療回数
- 1回
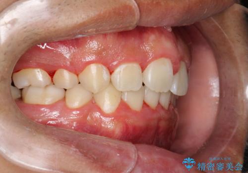
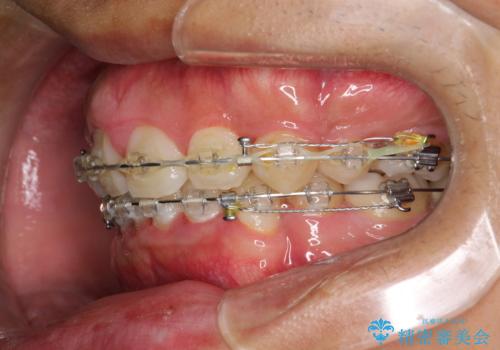
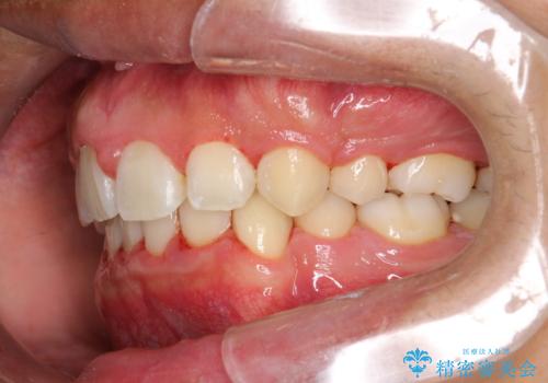
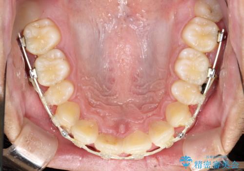
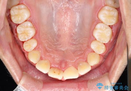
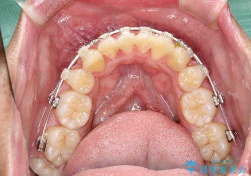
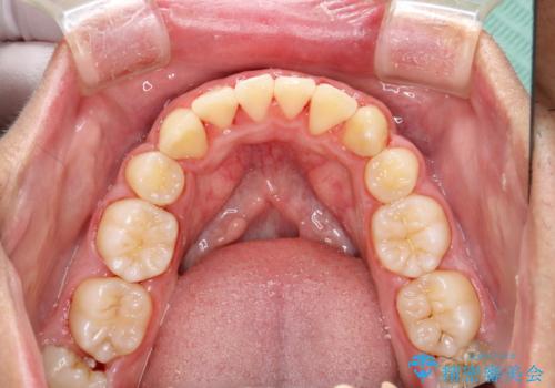
- 治療計画
- ワイヤー矯正の終了時にしばらく行っていないためクリーニングも希望されました。装置の除去j時にPMTC60分コースを行いました。
- 費用(概算)
- 11,000円(税込)費用は治療当時の料金となります
治療について
装置を除去すると、エナメル質にダメージがかかることなどがあります。除去の際、一緒にクリーニングを行うことで、エナメル質をなめらかにしたり、歯ぐきの引き締まりが見られます。また、歯ブラシだけでは取り除けない汚れも取り除きますので、歯の表面がツルツルになります。矯正治療中・終了時には合わせてPMTCを行うことがおすすめです。
担当
表参道しらゆり歯科 DH西澤
PMTCの注意事項(リスク・副作用など)
- 歯を白くする目的の施術ではありません
- 保険適用外となります
当サイトの内容、テキスト、画像等の無断転載、複製、複写、盗用を固く禁じます。










