症例詳細
Case detail
インビザラインの開始前に歯磨きのチェックとPMTC
治療症例の内容
- 診療科目
- 治療カテゴリ
- 患者様
- 20代女性
- 治療期間
- 1日
- 治療回数
- 1回
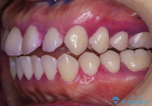
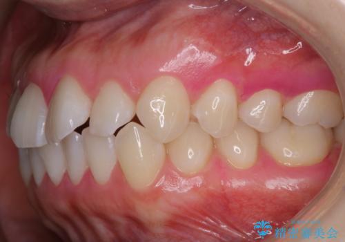
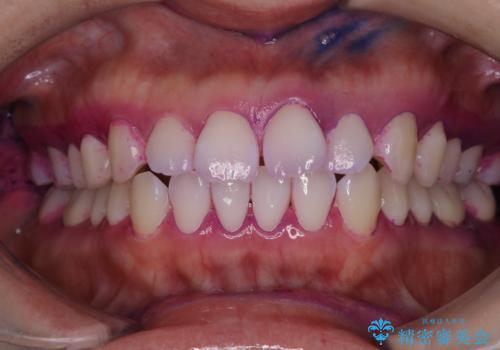
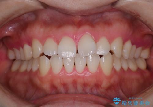
- 治療計画
- インビザラインでの矯正治療が開始する前に、全体的な磨き残しチェックとクリーニンングを希望とのことでした。染め出しをしてのブラッシング指導とPMTC30分コースを行いました。
- 費用(概算)
- 5,500円(税込)費用は治療当時の料金となります
治療について
毎日歯磨きをしていても、正しいやり方でしっかりと磨けているかがとても重要です。たとえ時間をかけたり、丁寧に毎日磨いていたとしても、プラーク(歯垢)が残っている状態では、ちゃんと磨けているとは言えません。
染め出しをすれば、歯磨きのやり方の癖や、どこが磨けていないかが把握できるため、正しい歯磨き方法に改善していくことが可能です。
また、定期的にPMTCを行い、機械的に汚れの除去をすることで長期的に健康な口腔内を保つことに繋がります。
担当歯科衛生士
表参道しらゆり歯科 DH西澤
PMTCの注意事項(リスク・副作用など)
- 歯を白くする目的の施術ではありません
- 保険適用外となります
当サイトの内容、テキスト、画像等の無断転載、複製、複写、盗用を固く禁じます。






