症例詳細
Case detail
歯根が露出している歯の歯肉移植 根面被覆術
治療症例の内容
- 診療科目
- 治療カテゴリ
- 担当医
- 藤巻太一朗(ドクタープロフィール)
- 患者様
- 40代男性
- 治療期間
- 3ヶ月
- 治療回数
- 2-5回
- 治療計画
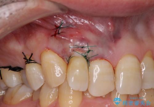
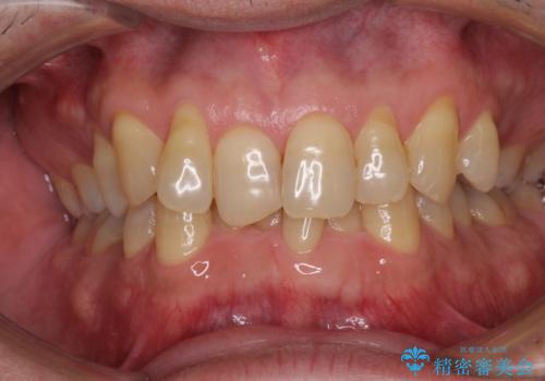
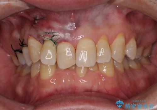
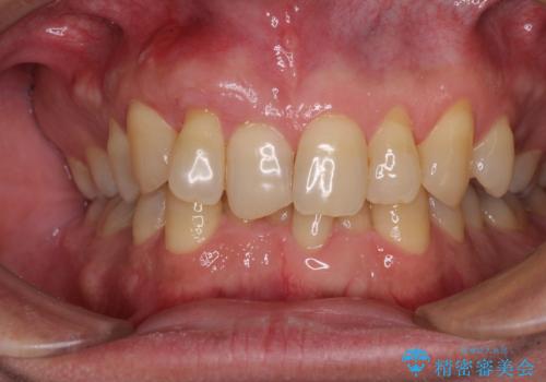
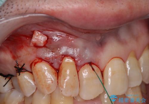
- 強い咬合力による歯肉退縮により、歯の根の黄色い色が見えてしまうことを気にされて来院された患者様です。
口蓋(上顎の内側)から採取した結合組織(歯肉の内側の組織)を移植することによる、根面被覆術を行うこととしました。
- 費用(概算)
- 治療費の目安: 11万円費用は治療当時の料金となります
治療について
ディープバイトで咬合力が強く、該当歯に負担のかかりやすい咬み合わせであったため、歯肉退縮が起こりやすいと判断された患者様でした。
根面被覆を達成するとともに、歯肉の厚みを増すことで、今後歯肉退縮を起こしにくくするよう配慮した処置としました。
外科処置の注意事項(リスク・副作用など)
- 外科手術のため、術後に出血、痛みや腫れ、違和感を伴います
- 口腔内の状態によっては適応できないことがあります
当サイトの内容、テキスト、画像等の無断転載、複製、複写、盗用を固く禁じます。











