症例詳細
Case detail
マスクの中で気になる口臭をPMTCで予防
治療症例の内容
- 診療科目
- 治療カテゴリ
- 患者様
- 20代女性
- 治療期間
- 1日
- 治療回数
- 1回
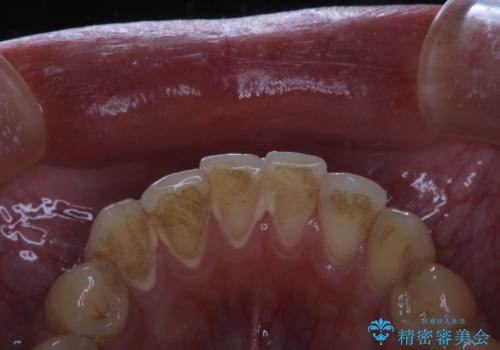
- 治療計画
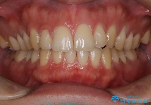
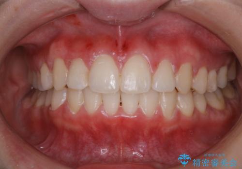
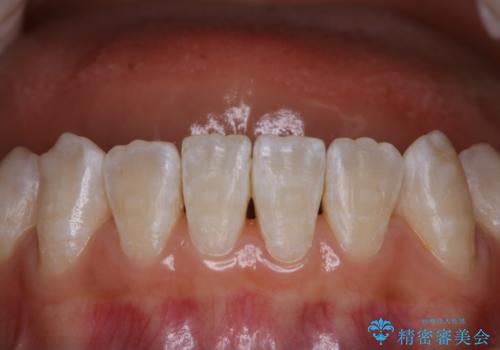
- マスクの着用により、以前より口臭が気になるとのことでした。しっかりと全体的なクリーニングを希望されたため、PMTC60分コースを行いました。
- 費用(概算)
- 11,000円(税込)費用は治療当時の料金となります
治療について
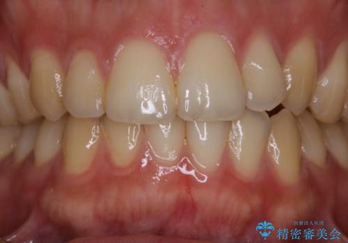
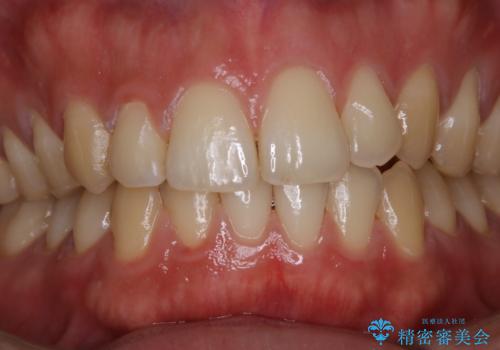
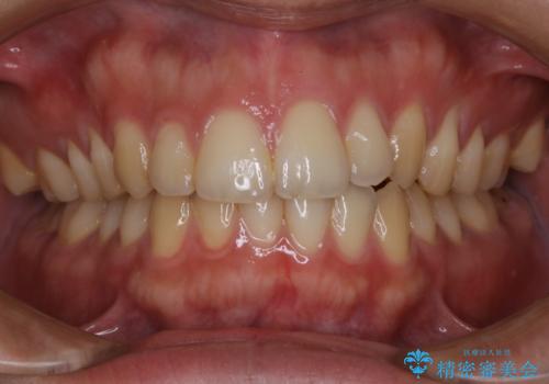
PMTCとはProfessinnal Mechanical Tooth Cleaning・専門器具による歯の機械的な清掃です。
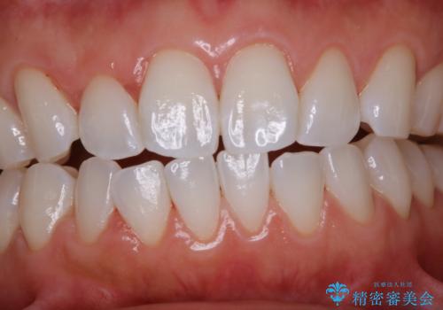
バイオフィルム(細菌の塊)を破壊し、歯の表面をツルツルにすることでお口の中の細菌数を減らし歯周病のリスクが定着するのを防ぎます。更に、歯に新しい汚れがつきにくい状態になります。
バイオフィルムが除去されると、ご自身本来の歯の表面になります。PMTCをすることで口臭予防にもなり、定期的に行うことが大切です。
担当歯科衛生士
表参道しらゆり歯科 DH西澤
PMTCの注意事項(リスク・副作用など)
- 歯を白くする目的の施術ではありません
- 保険適用外となります
当サイトの内容、テキスト、画像等の無断転載、複製、複写、盗用を固く禁じます。






