症例詳細
Case detail
invisalign治療中にPMTCできれいな口元に
治療症例の内容
- 診療科目
- 治療カテゴリ
- 患者様
- 30代女性
- 治療期間
- 1日
- 治療回数
- 1回
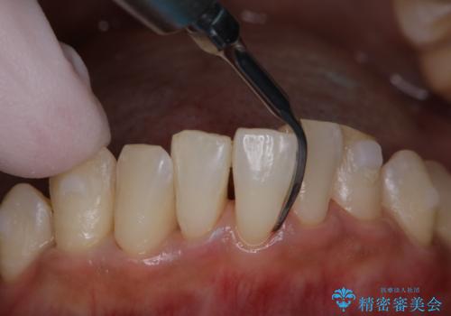
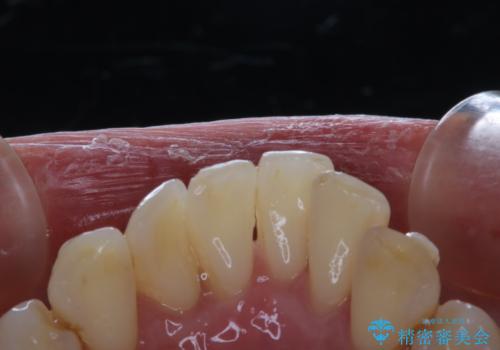
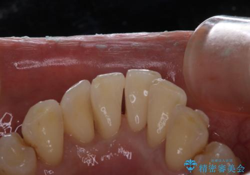
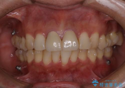
- 治療計画
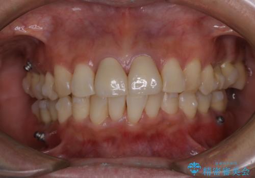
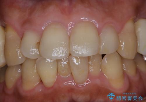
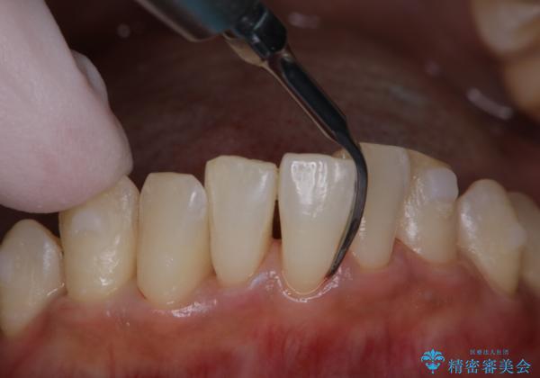
- インビザラインでのマウスピース矯正中の方です。矯正中にも定期的なクリーニングを希望とのことでした。PMTC30分コースを行いました。
- 費用(概算)
- 5,500円(税込)費用は治療当時の料金となります
治療について
マウスピース矯正インビザライン治療では、歯の表面にアタッチメントという突起を設定します。(アタッチメントは歯の動きを効率的に移動するためのものです)
アタッチメントが歯に付くと、表面が凸凹し磨き残しが多くなったりと、プラークや歯石・着色がつきやすくなることがあります。
矯正治療中もPMTCを定期的に行い、専門的な機械でしっかりと汚れを除去することがおススメです。
担当歯科衛生士
表参道しらゆり歯科 DH西澤
PMTCの注意事項(リスク・副作用など)
- 歯を白くする目的の施術ではありません
- 保険適用外となります
当サイトの内容、テキスト、画像等の無断転載、複製、複写、盗用を固く禁じます。







